JavaScript is disabled in your browser. Please enable JavaScript to view this website.

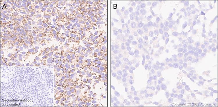
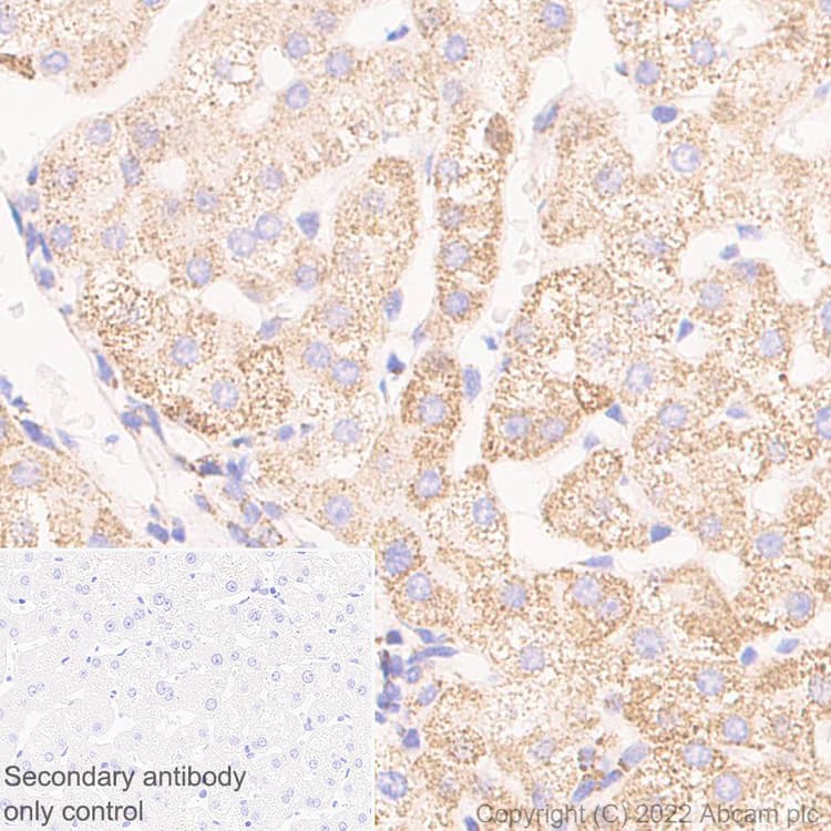
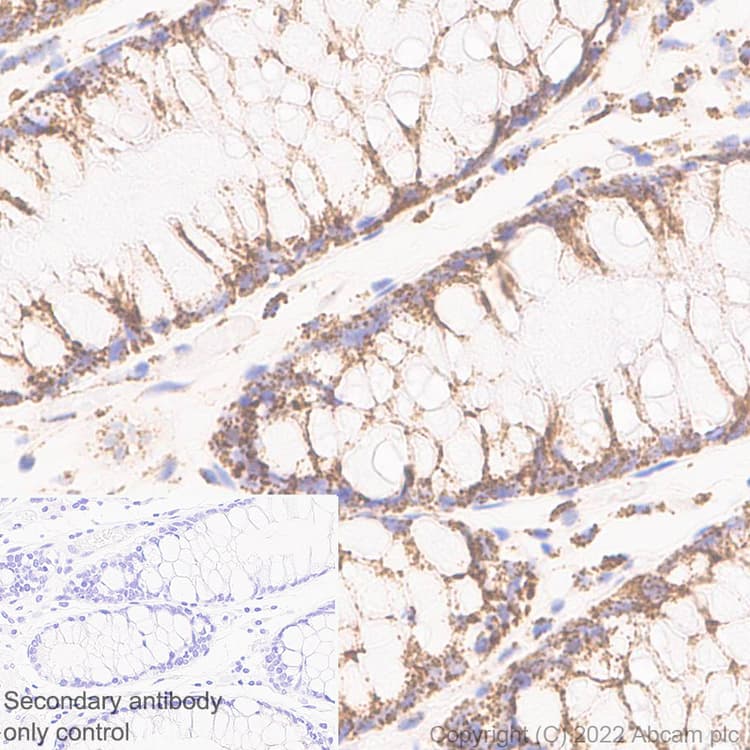
Anti-BCKDHA antibody [EPR27003-11](ab305168)

$undefined

Anti-BCKDHA antibody [EPR27003-11](ab305168)

Anti-BCKDHA antibody [EPR27003-11](ab305168)

Anti-BCKDHA antibody [EPR27003-11](ab305168)

Anti-BCKDHA antibody [EPR27003-11](ab305168)

Anti-BCKDHA antibody [EPR27003-11](ab305168)

Anti-BCKDHA antibody [EPR27003-11](ab305168)

Anti-BCKDHA antibody [EPR27003-11](ab305168)

Rabbit Recombinant Monoclonal BCKDHA antibody. Suitable for IP, IHC-P, WB and reacts with Human samples. Cited in 1 publication.
Specifications
Shipped At Conditions Blue Ice
Appropriate Long term Storage Conditions Store at -20°C.
Clonality Monoclonal
Applications Flow Cyt (Intra), ICC/IF, IHC-P, IP, WB
Species Reactivity Human, Mouse, Rat
Isotype IgG