JavaScript is disabled in your browser. Please enable JavaScript to view this website.

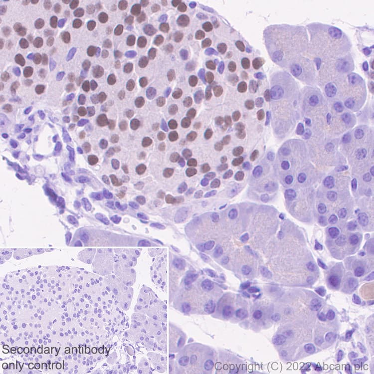
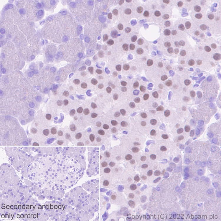
Anti-INSM1 antibody [EPR23199-37-6-1](ab305104)

$undefined

Anti-INSM1 antibody [EPR23199-37-6-1](ab305104)

Anti-INSM1 antibody [EPR23199-37-6-1](ab305104)

Anti-INSM1 antibody [EPR23199-37-6-1](ab305104)

Anti-INSM1 antibody [EPR23199-37-6-1](ab305104)

Anti-INSM1 antibody [EPR23199-37-6-1](ab305104)

Anti-INSM1 antibody [EPR23199-37-6-1](ab305104)

Rabbit Recombinant Monoclonal INSM1 antibody. Suitable for IHC-P, WB and reacts with Human, Rat, Mouse samples. Cited in 1 publication.
Specifications
Shipped At Conditions Blue Ice
Appropriate Long term Storage Conditions Store at -20°C.
Clonality Monoclonal
Applications Flow Cyt (Intra), ICC/IF, IHC-P, IP, WB
Species Reactivity Human, Mouse, Rat
Isotype IgG