JavaScript is disabled in your browser. Please enable JavaScript to view this website.

Anti-CD98 antibody [EPR27111-83] - BSA and Azide free(AB303511)

$undefined

Anti-CD98 antibody [EPR27111-83] - BSA and Azide free(AB303511)

Anti-CD98 antibody [EPR27111-83] - BSA and Azide free(AB303511)

Anti-CD98 antibody [EPR27111-83] - BSA and Azide free(AB303511)

Anti-CD98 antibody [EPR27111-83] - BSA and Azide free(AB303511)

Anti-CD98 antibody [EPR27111-83] - BSA and Azide free(AB303511)

Anti-CD98 antibody [EPR27111-83] - BSA and Azide free(AB303511)

Anti-CD98 antibody [EPR27111-83] - BSA and Azide free(AB303511)

Anti-CD98 antibody [EPR27111-83] - BSA and Azide free(AB303511)

Anti-CD98 antibody [EPR27111-83] - BSA and Azide free(AB303511)

Anti-CD98 antibody [EPR27111-83] - BSA and Azide free(AB303511)

Anti-CD98 antibody [EPR27111-83] - BSA and Azide free(AB303511)

Anti-CD98 antibody [EPR27111-83] - BSA and Azide free(AB303511)

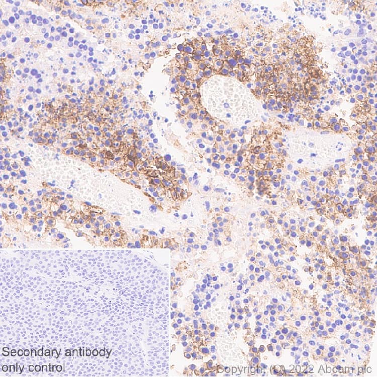
Rabbit Recombinant Monoclonal CD98 antibody. Carrier free. Suitable for WB, IHC-P, IHC-Fr, ICC/IF, Flow Cyt, IP and reacts with Mouse samples.
Specifications
Shipped At Conditions Blue Ice
Appropriate Long term Storage Conditions Store at +4°C.
Clonality Monoclonal
Applications Flow Cyt, ICC/IF, IHC-Fr, IHC-P, IP, WB
Species Reactivity Human, Mouse, Rat
Isotype IgG