JavaScript is disabled in your browser. Please enable JavaScript to view this website.

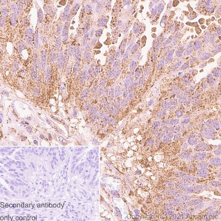
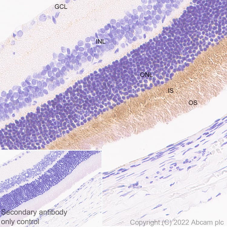
Anti-ABCA4 antibody [EPR26543-66](AB303504)

$undefined

Anti-ABCA4 antibody [EPR26543-66](AB303504)

Anti-ABCA4 antibody [EPR26543-66](AB303504)

Anti-ABCA4 antibody [EPR26543-66](AB303504)

Anti-ABCA4 antibody [EPR26543-66](AB303504)

Anti-ABCA4 antibody [EPR26543-66](AB303504)

Anti-ABCA4 antibody [EPR26543-66](AB303504)

Anti-ABCA4 antibody [EPR26543-66](AB303504)

Anti-ABCA4 antibody [EPR26543-66](AB303504)

Anti-ABCA4 antibody [EPR26543-66](AB303504)

Anti-ABCA4 antibody [EPR26543-66](AB303504)

Anti-ABCA4 antibody [EPR26543-66](AB303504)

Rabbit Recombinant Monoclonal abCA4 antibody. Suitable for WB, IHC-P, IP, ICC/IF and reacts with Mouse, Rat samples.
Specifications
Shipped At Conditions Blue Ice
Appropriate Long term Storage Conditions Store at -20°C.
Clonality Monoclonal
Applications Flow Cyt, ICC/IF, IHC-P, IP, WB
Species Reactivity Human, Mouse, Rat
Isotype IgG