JavaScript is disabled in your browser. Please enable JavaScript to view this website.

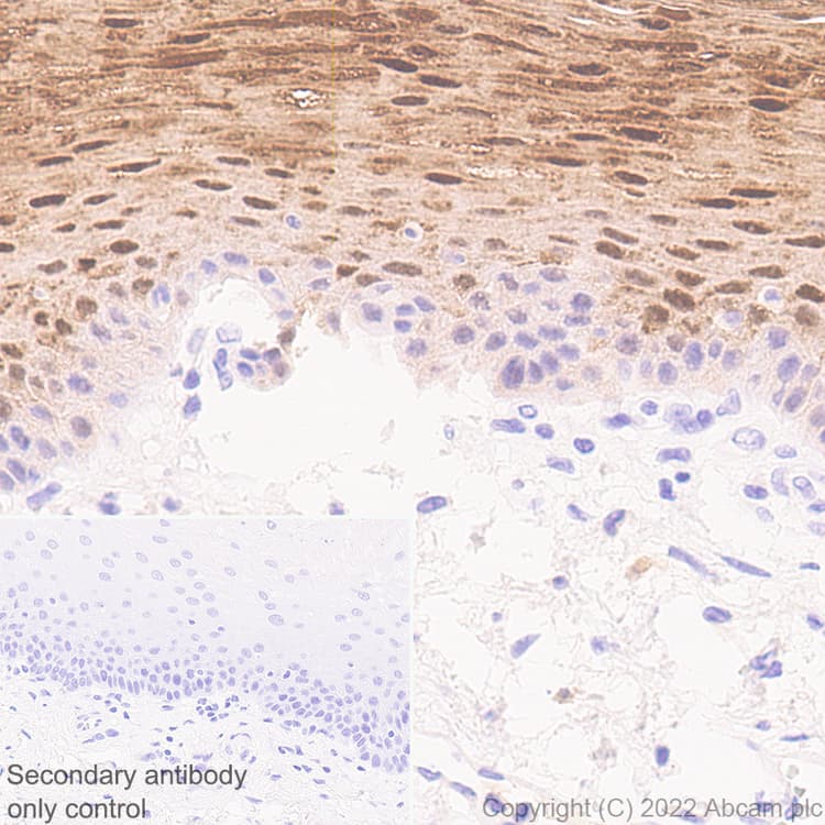
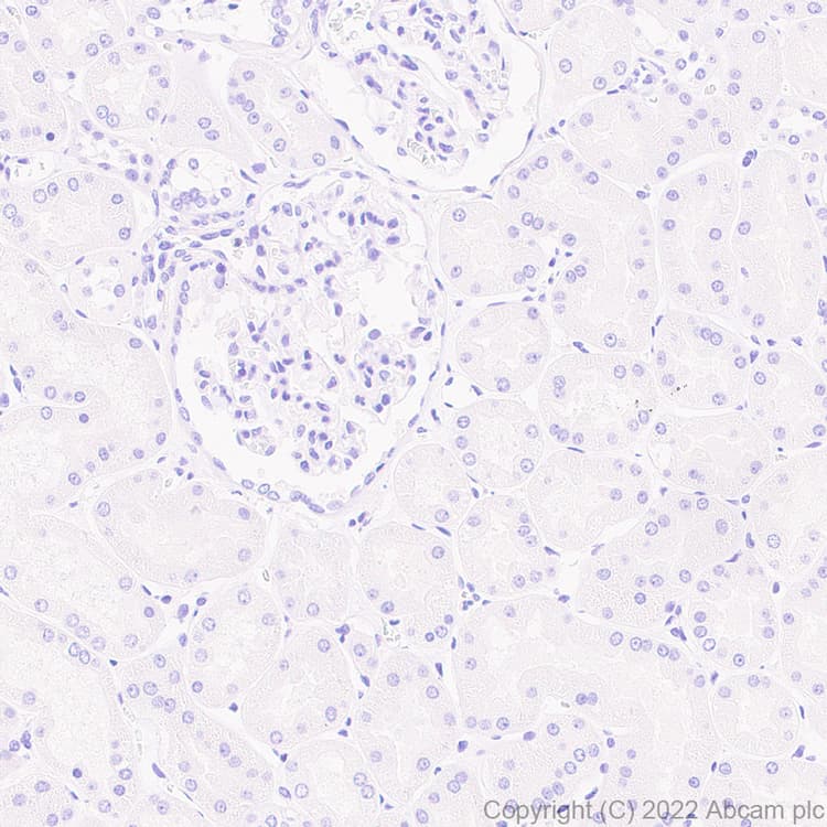
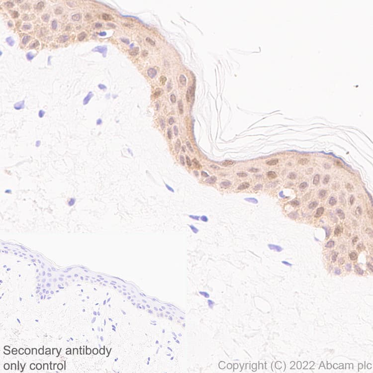
Anti-IL-1RA antibody [EPR26853-58](AB303490)

$undefined

Anti-IL-1RA antibody [EPR26853-58](AB303490)

Anti-IL-1RA antibody [EPR26853-58](AB303490)

Anti-IL-1RA antibody [EPR26853-58](AB303490)

Anti-IL-1RA antibody [EPR26853-58](AB303490)

Anti-IL-1RA antibody [EPR26853-58](AB303490)

Rabbit Recombinant Monoclonal IL-1RA antibody. Suitable for WB, IHC-P, ICC/IF, Flow Cyt (Intra) and reacts with Human samples.
Specifications
Shipped At Conditions Blue Ice
Appropriate Long term Storage Conditions Store at -20°C.
Clonality Monoclonal
Applications Flow Cyt (Intra), ICC/IF, IHC-Fr, IHC-P, IP, WB
Species Reactivity Human, Mouse, Rat
Isotype IgG