JavaScript is disabled in your browser. Please enable JavaScript to view this website.

Anti-ATG12 antibody [EPR27485-89] - BSA and Azide free(AB303489)

$undefined

Anti-ATG12 antibody [EPR27485-89] - BSA and Azide free(AB303489)

Anti-ATG12 antibody [EPR27485-89] - BSA and Azide free(AB303489)

Anti-ATG12 antibody [EPR27485-89] - BSA and Azide free(AB303489)

Anti-ATG12 antibody [EPR27485-89] - BSA and Azide free(AB303489)

Anti-ATG12 antibody [EPR27485-89] - BSA and Azide free(AB303489)

Anti-ATG12 antibody [EPR27485-89] - BSA and Azide free(AB303489)

Anti-ATG12 antibody [EPR27485-89] - BSA and Azide free(AB303489)

Anti-ATG12 antibody [EPR27485-89] - BSA and Azide free(AB303489)

Anti-ATG12 antibody [EPR27485-89] - BSA and Azide free(AB303489)

Anti-ATG12 antibody [EPR27485-89] - BSA and Azide free(AB303489)

Anti-ATG12 antibody [EPR27485-89] - BSA and Azide free(AB303489)

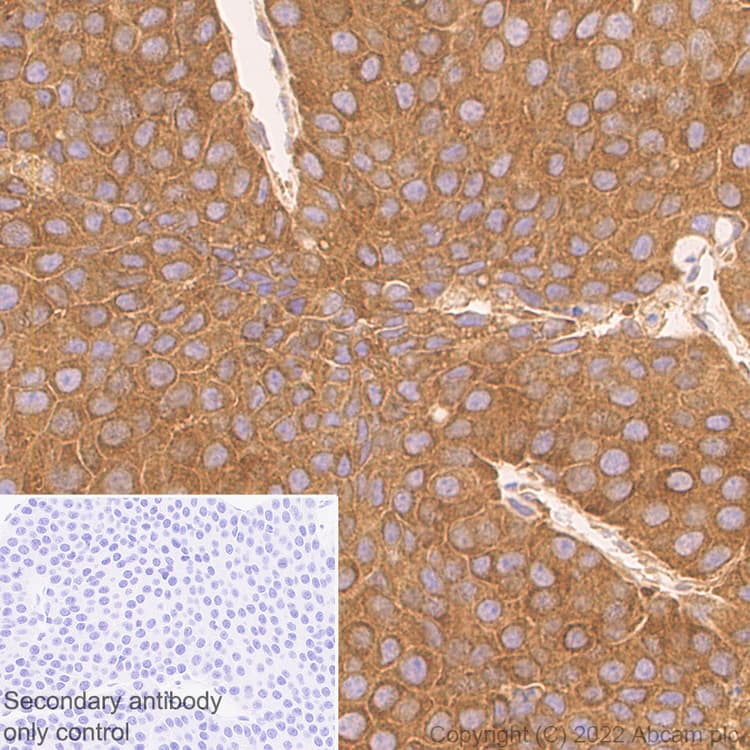
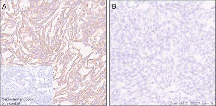
Rabbit Recombinant Monoclonal ATG12 antibody. Carrier free. Suitable for WB, IHC-P, ICC/IF, IP and reacts with Human, Mouse, Rat samples.
Specifications
Shipped At Conditions Blue Ice
Appropriate Long term Storage Conditions Store at +4°C.
Clonality Monoclonal
Applications Flow Cyt (Intra), ICC/IF, IHC-P, IP, WB
Species Reactivity Human, Mouse, Rat
Isotype IgG