JavaScript is disabled in your browser. Please enable JavaScript to view this website.

Anti-Glucocorticoid receptor antibody [41/Glucocorticoid Receptor](ab302677)

$undefined

Anti-Glucocorticoid receptor antibody [41/Glucocorticoid Receptor](ab302677)

Anti-Glucocorticoid receptor antibody [41/Glucocorticoid Receptor](ab302677)

Anti-Glucocorticoid receptor antibody [41/Glucocorticoid Receptor](ab302677)

Anti-Glucocorticoid receptor antibody [41/Glucocorticoid Receptor](ab302677)

Anti-Glucocorticoid receptor antibody [41/Glucocorticoid Receptor](ab302677)

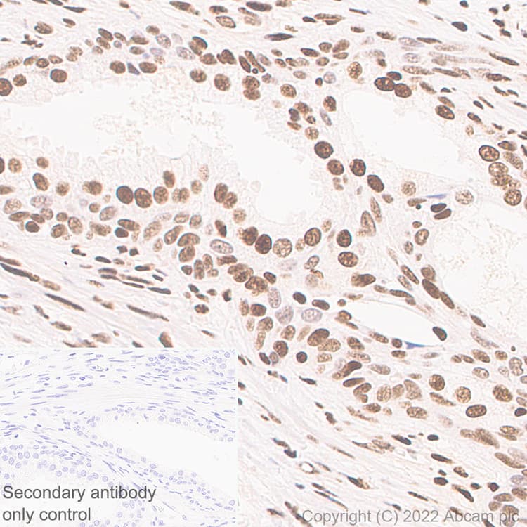
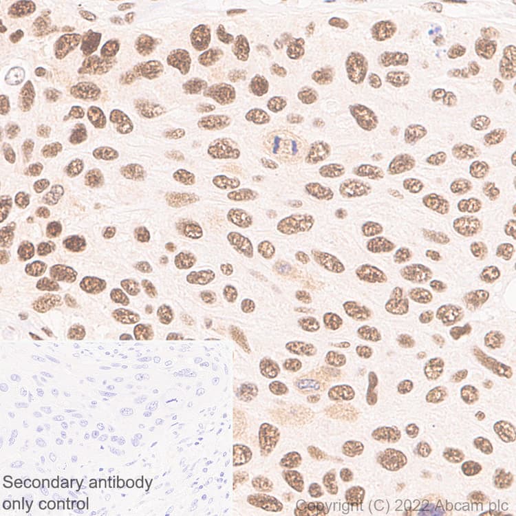
Knockout Tested Mouse Recombinant Monoclonal Glucocorticoid Receptor antibody. Suitable for WB, IHC-P, ICC/IF and reacts with Human samples.
Specifications
Shipped At Conditions Blue Ice
Appropriate Long term Storage Conditions Store at -20°C.
Clonality Monoclonal
Applications ICC/IF, IHC-P, IP, WB
Species Reactivity Human, Mouse, Rat
Isotype IgG1