JavaScript is disabled in your browser. Please enable JavaScript to view this website.

Anti-LAMP1 antibody [1483CT517.45.23](ab302639)

$undefined

Anti-LAMP1 antibody [1483CT517.45.23](ab302639)

Anti-LAMP1 antibody [1483CT517.45.23](ab302639)

Anti-LAMP1 antibody [1483CT517.45.23](ab302639)

Anti-LAMP1 antibody [1483CT517.45.23](ab302639)

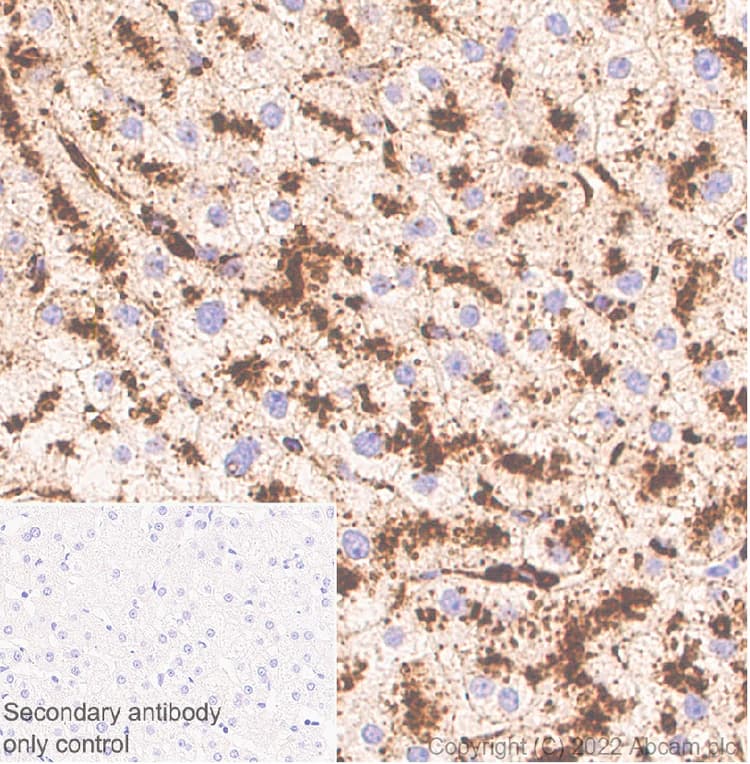
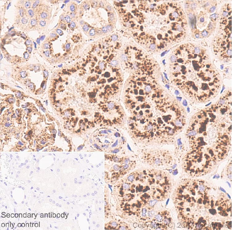
Mouse Recombinant Monoclonal LAMP1 antibody. Suitable for WB, IHC-P and reacts with Human samples.
Specifications
Shipped At Conditions Blue Ice
Appropriate Long term Storage Conditions Store at -20°C.
Clonality Monoclonal
Applications ICC/IF, IHC-P, WB
Species Reactivity Human, Mouse, Rat
Isotype IgG1