JavaScript is disabled in your browser. Please enable JavaScript to view this website.

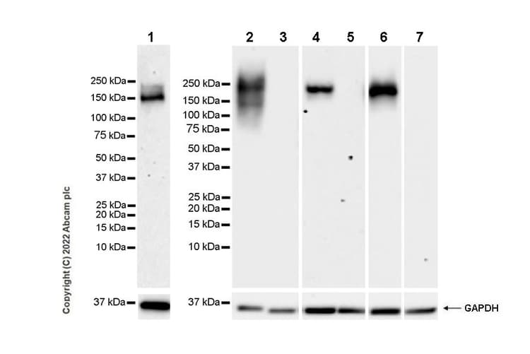
Anti-SUR1 antibody [EPR25761-44](ab302611)

$undefined

Anti-SUR1 antibody [EPR25761-44](ab302611)

Anti-SUR1 antibody [EPR25761-44](ab302611)

Anti-SUR1 antibody [EPR25761-44](ab302611)

Rabbit Recombinant Monoclonal SUR1 antibody. Suitable for Flow Cyt (Intra), ICC/IF, WB and reacts with Human, Rat samples.
Specifications
Shipped At Conditions Blue Ice
Appropriate Long term Storage Conditions Store at -20°C.
Clonality Monoclonal
Applications Flow Cyt (Intra), ICC/IF, IHC-Fr, IHC-P, IP, WB
Species Reactivity Human, Mouse, Rat
Isotype IgG