JavaScript is disabled in your browser. Please enable JavaScript to view this website.

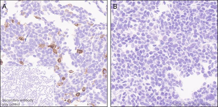
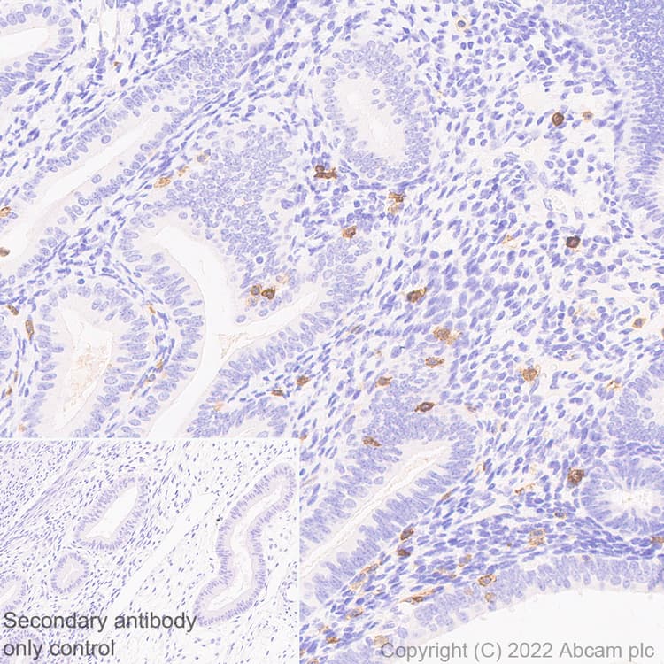
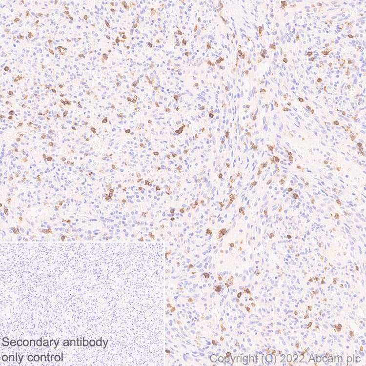
Anti-CD161 antibody [EPR26340-6](ab302564)

$undefined

Anti-CD161 antibody [EPR26340-6](ab302564)

Anti-CD161 antibody [EPR26340-6](ab302564)

Anti-CD161 antibody [EPR26340-6](ab302564)

Anti-CD161 antibody [EPR26340-6](ab302564)

Anti-CD161 antibody [EPR26340-6](ab302564)

Anti-CD161 antibody [EPR26340-6](ab302564)

Anti-CD161 antibody [EPR26340-6](ab302564)

Anti-CD161 antibody [EPR26340-6](ab302564)

Rabbit Recombinant Monoclonal KLRB1 antibody. Suitable for Flow Cyt, ICC/IF, mIHC, IHC-P and reacts with Human samples.
Specifications
Shipped At Conditions Blue Ice
Appropriate Long term Storage Conditions Store at -20°C.
Clonality Monoclonal
Applications Flow Cyt, ICC/IF, IHC-P, IP, WB, mIHC
Species Reactivity Human, Mouse, Rat
Isotype IgG