JavaScript is disabled in your browser. Please enable JavaScript to view this website.

Anti-KPNA4 antibody [EPR26347-21] - BSA and Azide free(ab302557)

$undefined

Anti-KPNA4 antibody [EPR26347-21] - BSA and Azide free(ab302557)

Anti-KPNA4 antibody [EPR26347-21] - BSA and Azide free(ab302557)

Anti-KPNA4 antibody [EPR26347-21] - BSA and Azide free(ab302557)

Anti-KPNA4 antibody [EPR26347-21] - BSA and Azide free(ab302557)

Anti-KPNA4 antibody [EPR26347-21] - BSA and Azide free(ab302557)

Anti-KPNA4 antibody [EPR26347-21] - BSA and Azide free(ab302557)

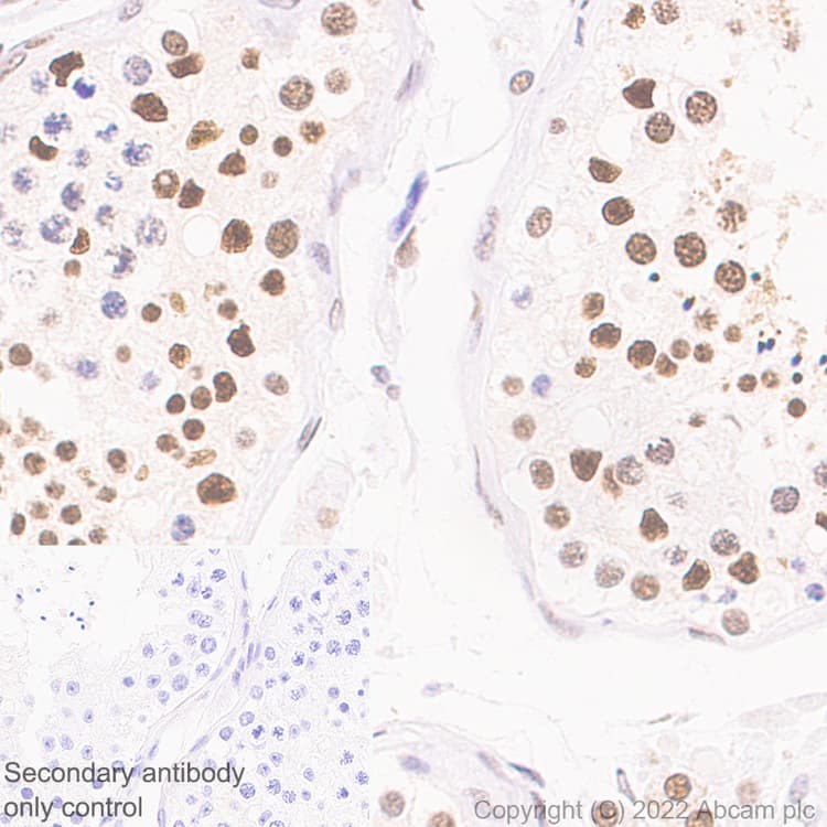
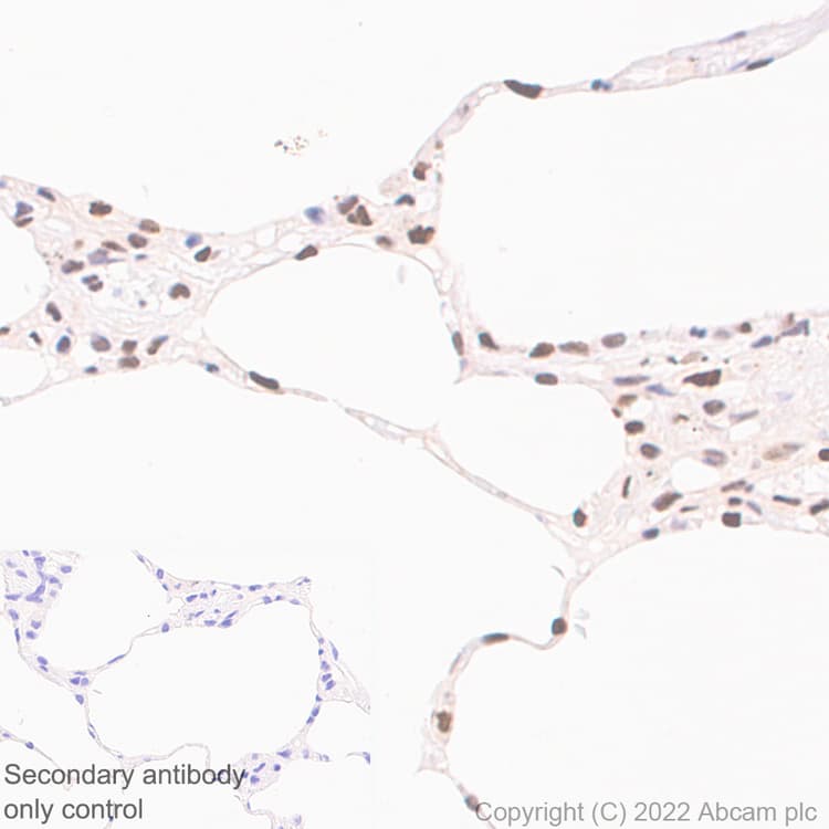
Rabbit Recombinant Monoclonal KPNA4 antibody. Carrier free. Suitable for IHC-P, WB, IP and reacts with Human, Mouse, Rat samples.
Specifications
Shipped At Conditions Blue Ice
Appropriate Long term Storage Conditions Store at +4°C.
Clonality Monoclonal
Applications ICC/IF, IHC-P, IP, WB
Species Reactivity Human, Mouse, Rat
Isotype IgG