JavaScript is disabled in your browser. Please enable JavaScript to view this website.

Anti-FOLR2 antibody [EPR25731-70] (BSA and Azide free)(AB302533)

$undefined

Folr2 Antibody Epr25731 70 Bsa And Azide Free Ab302533  Immunocytochemistry Immunofluorescence Img401024

Folr2 Antibody Epr25731 70 Bsa And Azide Free Ab302533  Immunohistochemistry Formalin Pfa Fixed Paraffin Embedded Sections Img400958

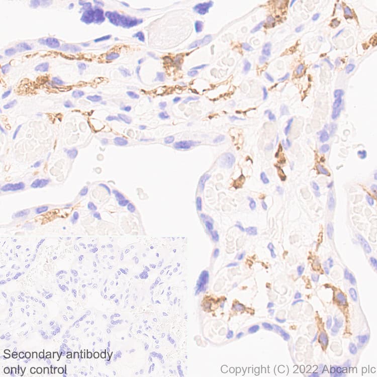
Folr2 Antibody Epr25731 70 Bsa And Azide Free Ab302533  Immunohistochemistry Formalin Pfa Fixed Paraffin Embedded Sections Img400959

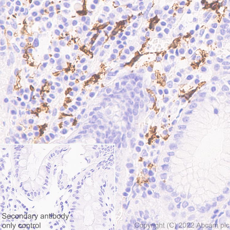
Folr2 Antibody Epr25731 70 Bsa And Azide Free Ab302533  Immunohistochemistry Formalin Pfa Fixed Paraffin Embedded Sections Img400960

Folr2 Antibody Epr25731 70 Bsa And Azide Free Ab302533  Western Blot Img400922

Rabbit Recombinant Monoclonal FOLR2 antibody. Carrier free. Suitable for IHC-P, ICC/IF and reacts with Human samples.
Specifications
Shipped At Conditions Blue Ice
Appropriate Long term Storage Conditions Store at +4°C.
Clonality Monoclonal
Applications Flow Cyt, ICC/IF, IHC-P, IP, WB
Species Reactivity Human, Mouse, Rat
Isotype IgG