JavaScript is disabled in your browser. Please enable JavaScript to view this website.

Anti-GM130 antibody [EP892Y] - Chicken IgY (Chimeric)(AB302489)

$undefined

Gm130 Antibody Ep892y Chicken Igy Chimeric Ab302489  Flow Cytometry Intracellular Img402046

Gm130 Antibody Ep892y Chicken Igy Chimeric Ab302489  Immunocytochemistry Immunofluorescence Img402035

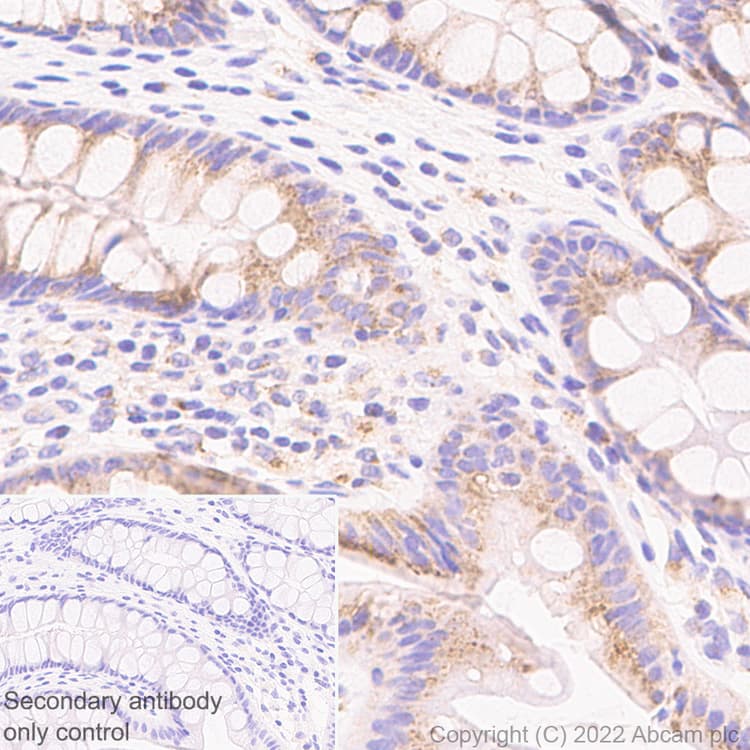
Gm130 Antibody Ep892y Chicken Igy Chimeric Ab302489  Immunohistochemistry Formalin Pfa Fixed Paraffin Embedded Sections Img402013

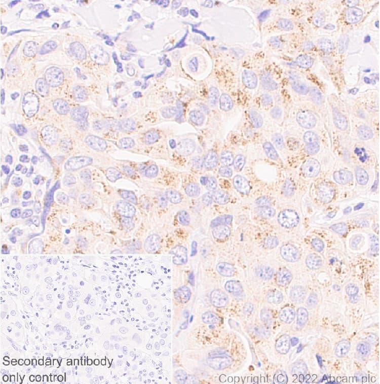
Gm130 Antibody Ep892y Chicken Igy Chimeric Ab302489  Immunohistochemistry Formalin Pfa Fixed Paraffin Embedded Sections Img402430

Chicken Recombinant Monoclonal GM130 antibody. Suitable for IHC-P, ICC/IF, Flow Cyt (Intra) and reacts with Human samples.
Specifications
Shipped At Conditions Blue Ice
Appropriate Long term Storage Conditions Store at -20°C.
Clonality Monoclonal
Applications Flow Cyt (Intra), ICC/IF, IHC-P, IP, WB
Species Reactivity Human, Mouse, Rat
Isotype IgY