JavaScript is disabled in your browser. Please enable JavaScript to view this website.

Anti-Mannose Receptor antibody [EPR25215-277](AB300621)

$undefined

Anti-Mannose Receptor antibody [EPR25215-277](AB300621)

Anti-Mannose Receptor antibody [EPR25215-277](AB300621)

Anti-Mannose Receptor antibody [EPR25215-277](AB300621)

Anti-Mannose Receptor antibody [EPR25215-277](AB300621)

Anti-Mannose Receptor antibody [EPR25215-277](AB300621)

Anti-Mannose Receptor antibody [EPR25215-277](AB300621)

Anti-Mannose Receptor antibody [EPR25215-277](AB300621)

Anti-Mannose Receptor antibody [EPR25215-277](AB300621)

Anti-Mannose Receptor antibody [EPR25215-277](AB300621)

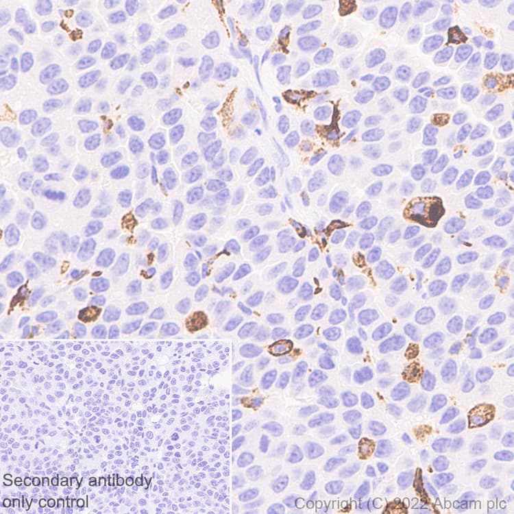
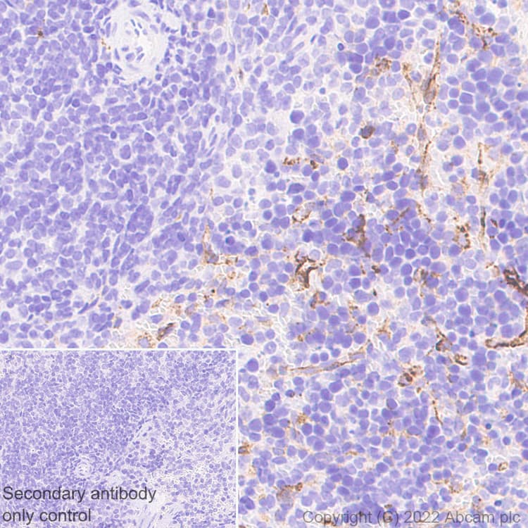
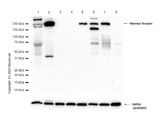
Anti-Mannose Receptor antibody [EPR25215-277] ab300621 is a rabbit monoclonal antibody that is used in Mannose Receptor western blotting, IHC and immunofluorescence. Suitable for mouse and rat samples.

- Recombinant format for unrivaled batch-batch consistency: no need for same-lot requests
- Validated on the Leica BOND™ RX automated IHC staining platform for Rabbit IHC
New 20 ul size available
Specifications
Shipped At Conditions Blue Ice
Appropriate Long term Storage Conditions Store at -20°C.
Clonality Monoclonal
Applications Human, Mouse, Rat
Species Reactivity Flow Cyt, ICC/IF, IHC-Fr, IHC-P, IP, WB
Isotype IgG
Conjugation -
CAS Number -