JavaScript is disabled in your browser. Please enable JavaScript to view this website.

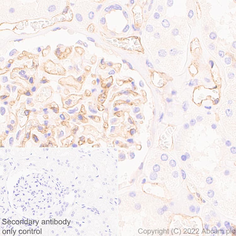
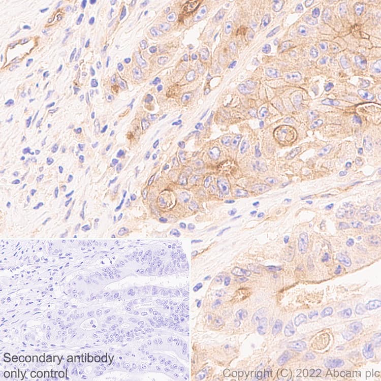
Anti-EPCR/CD201 antibody [EPR25647-49] (BSA and Azide free)(ab300566)

$undefined

Anti-EPCR/CD201 antibody [EPR25647-49] (BSA and Azide free)(ab300566)

Anti-EPCR/CD201 antibody [EPR25647-49] (BSA and Azide free)(ab300566)

Anti-EPCR/CD201 antibody [EPR25647-49] (BSA and Azide free)(ab300566)

Anti-EPCR/CD201 antibody [EPR25647-49] (BSA and Azide free)(ab300566)

Anti-EPCR/CD201 antibody [EPR25647-49] (BSA and Azide free)(ab300566)

Anti-EPCR/CD201 antibody [EPR25647-49] (BSA and Azide free)(ab300566)

Anti-EPCR/CD201 antibody [EPR25647-49] (BSA and Azide free)(ab300566)

Rabbit Recombinant Monoclonal EPCR/CD201 antibody. Carrier free. Suitable for WB, IHC-P and reacts with Human, Mouse samples.
Specifications
Shipped At Conditions Blue Ice
Appropriate Long term Storage Conditions Store at +4°C.
Clonality Monoclonal
Applications Flow Cyt, ICC/IF, IHC-P, IP, WB
Species Reactivity Human, Mouse, Rat
Isotype IgG