JavaScript is disabled in your browser. Please enable JavaScript to view this website.

Anti-HLA E antibody [EPR25300-104](ab300553)

$undefined

Anti-HLA E antibody [EPR25300-104](ab300553)

Anti-HLA E antibody [EPR25300-104](ab300553)

Anti-HLA E antibody [EPR25300-104](ab300553)

Anti-HLA E antibody [EPR25300-104](ab300553)

Anti-HLA E antibody [EPR25300-104](ab300553)

Anti-HLA E antibody [EPR25300-104](ab300553)

Anti-HLA E antibody [EPR25300-104](ab300553)

Anti-HLA E antibody [EPR25300-104](ab300553)

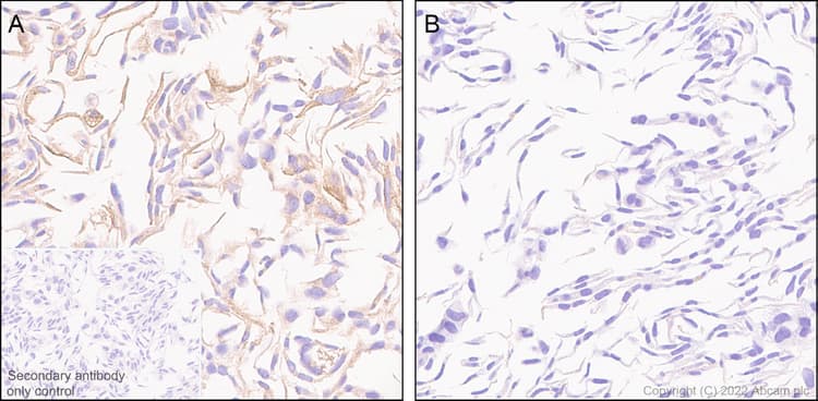
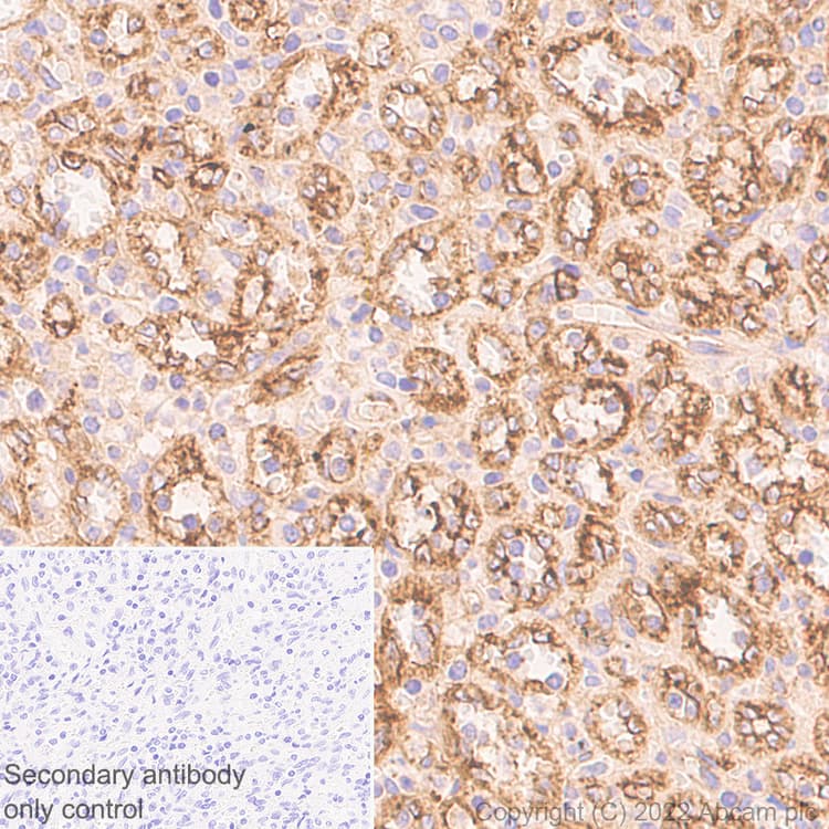
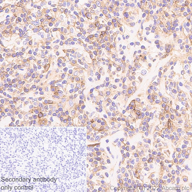
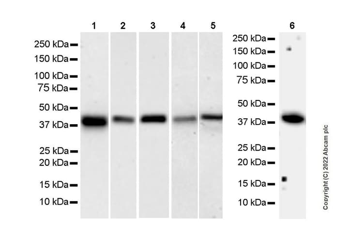
Rabbit Recombinant Monoclonal HLAE antibody. Suitable for WB, IHC-P, ICC/IF, IP and reacts with Human samples. Cited in 1 publication.
Specifications
Shipped At Conditions Blue Ice
Appropriate Long term Storage Conditions Store at -20°C.
Clonality Monoclonal
Applications Flow Cyt, ICC/IF, IHC-P, IP, WB
Species Reactivity Human, Mouse, Rat
Isotype IgG