JavaScript is disabled in your browser. Please enable JavaScript to view this website.

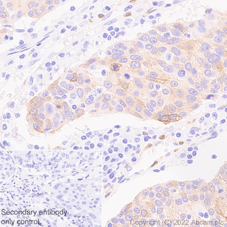
Anti-NOTCH3 antibody [EPR25183-101](ab300527)

$undefined

Anti-NOTCH3 antibody [EPR25183-101](ab300527)

Anti-NOTCH3 antibody [EPR25183-101](ab300527)

Anti-NOTCH3 antibody [EPR25183-101](ab300527)

Anti-NOTCH3 antibody [EPR25183-101](ab300527)

Anti-NOTCH3 antibody [EPR25183-101](ab300527)

Anti-NOTCH3 antibody [EPR25183-101](ab300527)

Anti-NOTCH3 antibody [EPR25183-101](ab300527)

Anti-NOTCH3 antibody [EPR25183-101](ab300527)

Rabbit Recombinant Monoclonal NOTCH3 antibody. Suitable for WB, IHC-P, Flow Cyt (Intra) and reacts with Human samples.
Specifications
Shipped At Conditions Blue Ice
Appropriate Long term Storage Conditions Store at -20°C.
Clonality Monoclonal
Applications Flow Cyt (Intra), IHC-P, WB
Species Reactivity Human, Mouse, Rat
Isotype IgG