JavaScript is disabled in your browser. Please enable JavaScript to view this website.

Anti-Stargazin antibody [EPR25387-48](ab300519)

$undefined

Anti-Stargazin antibody [EPR25387-48](ab300519)

Anti-Stargazin antibody [EPR25387-48](ab300519)

Anti-Stargazin antibody [EPR25387-48](ab300519)

Anti-Stargazin antibody [EPR25387-48](ab300519)

Anti-Stargazin antibody [EPR25387-48](ab300519)

Anti-Stargazin antibody [EPR25387-48](ab300519)

Anti-Stargazin antibody [EPR25387-48](ab300519)

Anti-Stargazin antibody [EPR25387-48](ab300519)

Anti-Stargazin antibody [EPR25387-48](ab300519)

Anti-Stargazin antibody [EPR25387-48](ab300519)

Anti-Stargazin antibody [EPR25387-48](ab300519)

Anti-Stargazin antibody [EPR25387-48](ab300519)

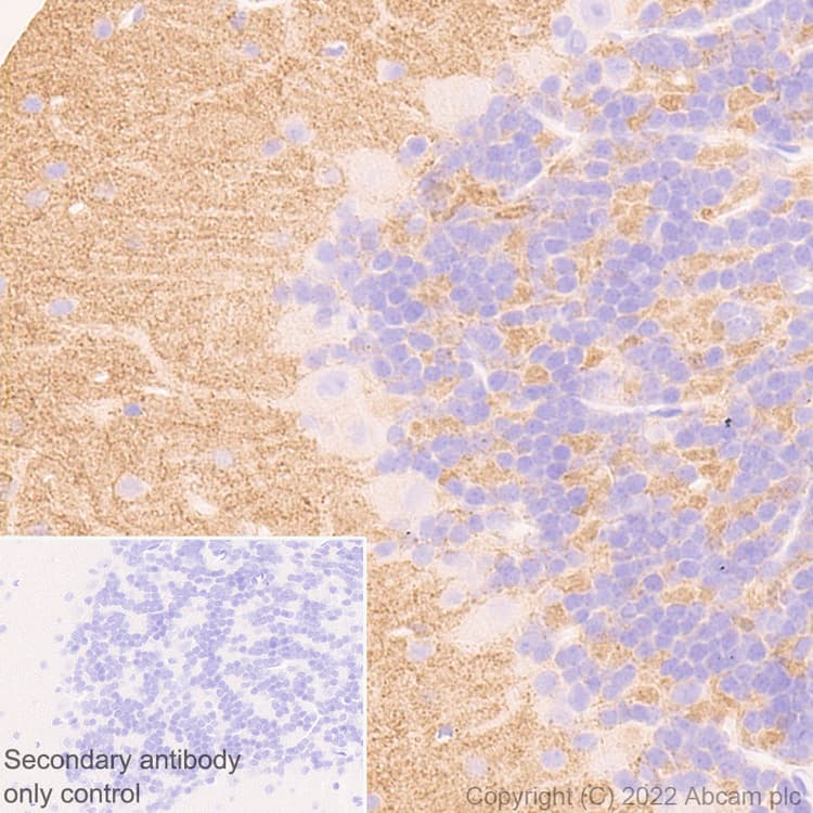
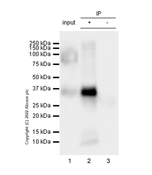
Rabbit Recombinant Monoclonal Stargazin antibody. Suitable for IP, IHC-Fr, IHC-P, Dot, WB and reacts with Mouse, Human, Rat, Transfected cell line - Mouse samples.
Specifications
Shipped At Conditions Blue Ice
Appropriate Long term Storage Conditions Store at -20°C.
Clonality Monoclonal
Applications Dot, ICC/IF, IHC-Fr, IHC-P, IP, WB
Species Reactivity Human, Mouse, Rat
Isotype IgG