JavaScript is disabled in your browser. Please enable JavaScript to view this website.

Anti-KDM6A / UTX antibody [EPR26387-23] (BSA and Azide free)(ab300514)

$undefined

Anti-KDM6A / UTX antibody [EPR26387-23] (BSA and Azide free)(ab300514)

Anti-KDM6A / UTX antibody [EPR26387-23] (BSA and Azide free)(ab300514)

Anti-KDM6A / UTX antibody [EPR26387-23] (BSA and Azide free)(ab300514)

Anti-KDM6A / UTX antibody [EPR26387-23] (BSA and Azide free)(ab300514)

Anti-KDM6A / UTX antibody [EPR26387-23] (BSA and Azide free)(ab300514)

Anti-KDM6A / UTX antibody [EPR26387-23] (BSA and Azide free)(ab300514)

Anti-KDM6A / UTX antibody [EPR26387-23] (BSA and Azide free)(ab300514)

Anti-KDM6A / UTX antibody [EPR26387-23] (BSA and Azide free)(ab300514)

Anti-KDM6A / UTX antibody [EPR26387-23] (BSA and Azide free)(ab300514)

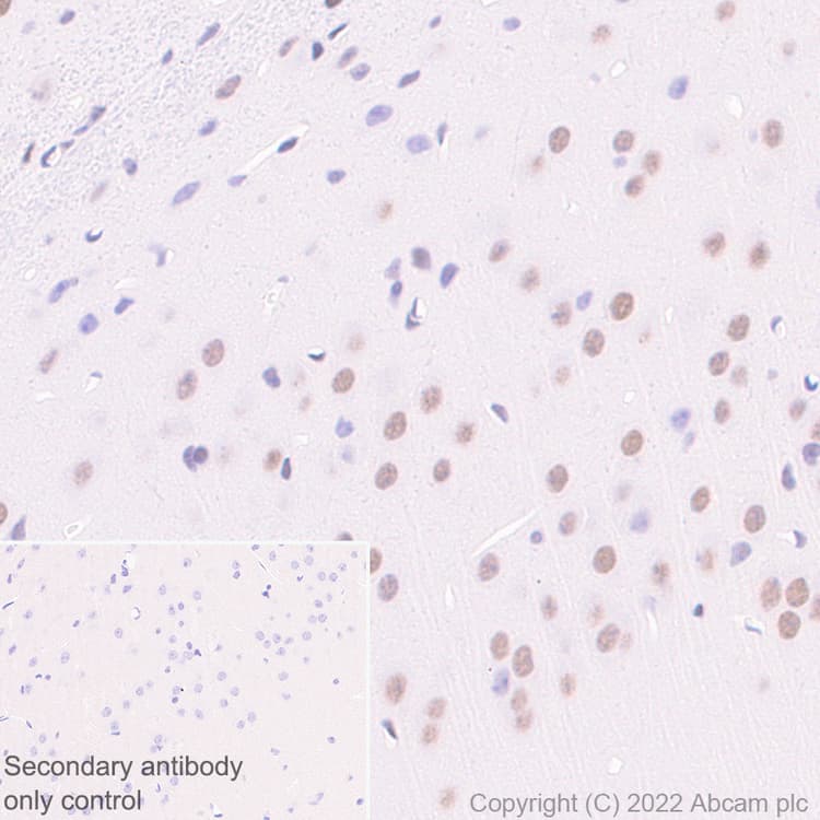
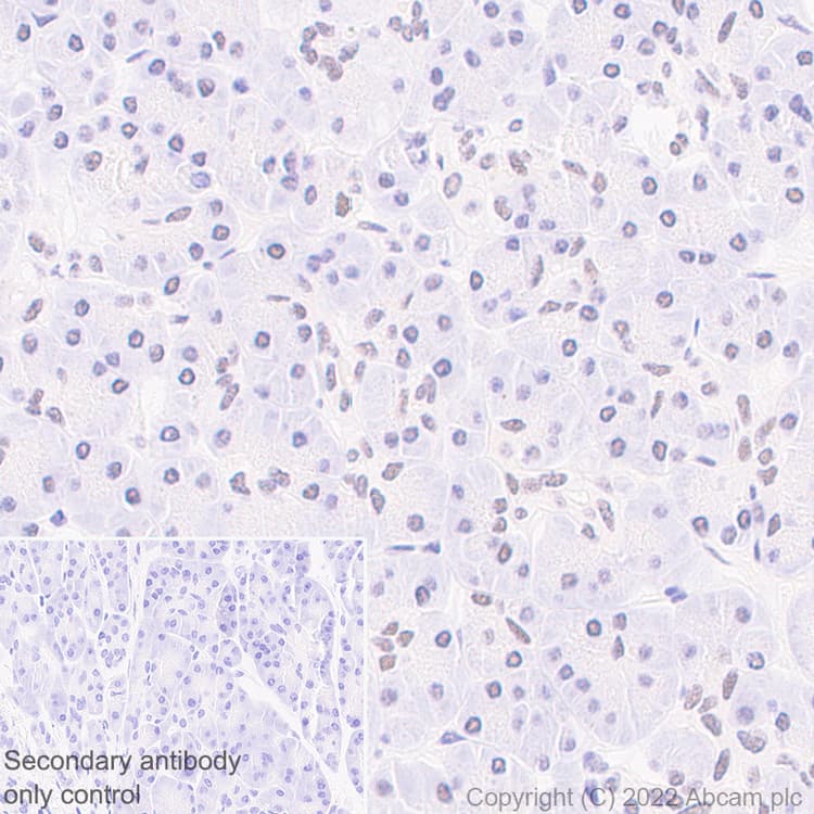
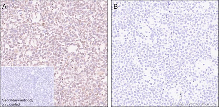
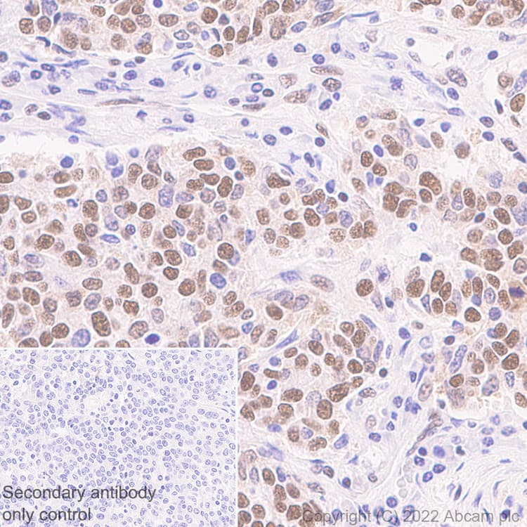
Rabbit Recombinant Monoclonal KDM6A / UTX antibody. Carrier free. Suitable for IHC-P, ICC/IF, WB and reacts with Rat, Mouse, Human samples.
Specifications
Shipped At Conditions Blue Ice
Appropriate Long term Storage Conditions Store at +4°C.
Clonality Monoclonal
Applications ChIP, Flow Cyt (Intra), ICC/IF, IHC-P, IP, WB
Species Reactivity Human, Mouse, Rat
Isotype IgG