JavaScript is disabled in your browser. Please enable JavaScript to view this website.

Anti-IL-1 alpha antibody [EPR25263-3](ab300501)

$undefined

Anti-IL-1 alpha antibody [EPR25263-3](ab300501)

Anti-IL-1 alpha antibody [EPR25263-3](ab300501)

Anti-IL-1 alpha antibody [EPR25263-3](ab300501)

Anti-IL-1 alpha antibody [EPR25263-3](ab300501)

Anti-IL-1 alpha antibody [EPR25263-3](ab300501)

Anti-IL-1 alpha antibody [EPR25263-3](ab300501)

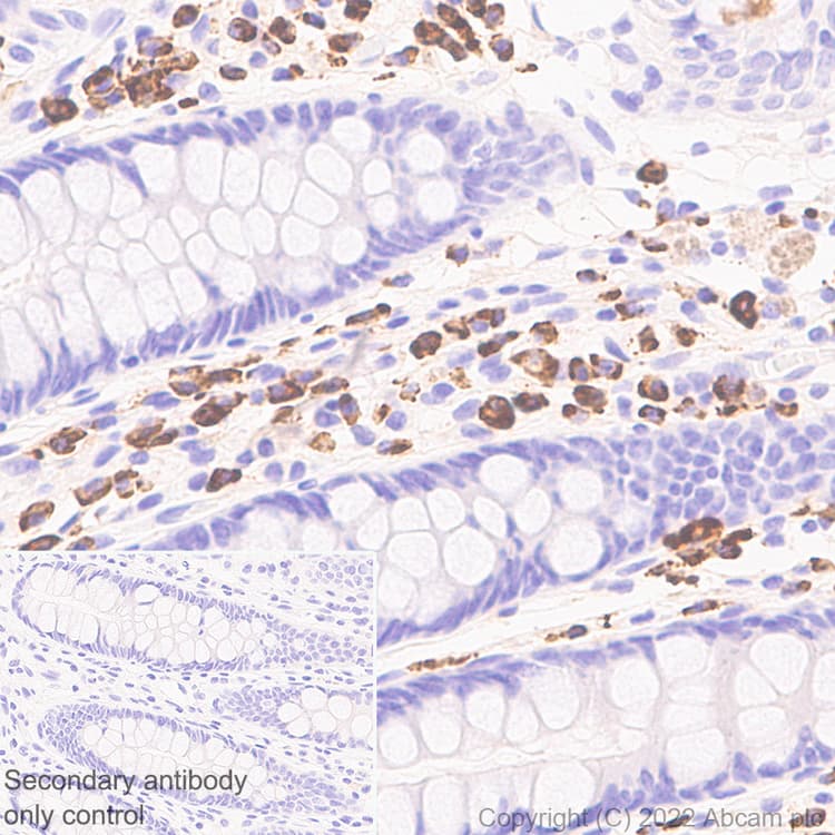
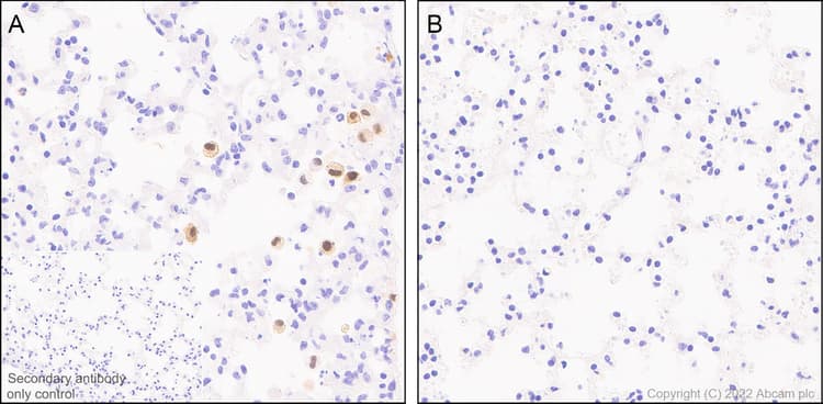
Rabbit Recombinant Monoclonal IL-1 alpha antibody. Suitable for ICC/IF, IHC-P, WB and reacts with Mouse, Human samples. Cited in 3 publications.
Specifications
Shipped At Conditions Blue Ice
Appropriate Long term Storage Conditions Store at -20°C.
Clonality Monoclonal
Applications Flow Cyt (Intra), ICC/IF, IHC-P, IP, WB
Species Reactivity Human, Mouse, Rat
Isotype IgG