JavaScript is disabled in your browser. Please enable JavaScript to view this website.

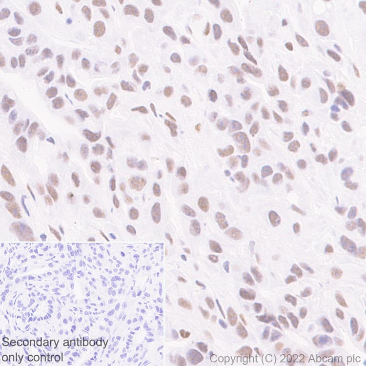
Anti-RBM15B antibody [EPR25177-134] (BSA and Azide free)(ab300468)

$undefined

Anti-RBM15B antibody [EPR25177-134] (BSA and Azide free)(ab300468)

Anti-RBM15B antibody [EPR25177-134] (BSA and Azide free)(ab300468)

Anti-RBM15B antibody [EPR25177-134] (BSA and Azide free)(ab300468)

Anti-RBM15B antibody [EPR25177-134] (BSA and Azide free)(ab300468)

Anti-RBM15B antibody [EPR25177-134] (BSA and Azide free)(ab300468)

Anti-RBM15B antibody [EPR25177-134] (BSA and Azide free)(ab300468)

Anti-RBM15B antibody [EPR25177-134] (BSA and Azide free)(ab300468)

Rabbit Monoclonal RBM15B antibody. Carrier free. Suitable for WB, IHC-P, Flow Cyt (Intra) and reacts with Human, Mouse, Rat samples.
Specifications
Shipped At Conditions Blue Ice
Appropriate Long term Storage Conditions Store at +4°C.
Clonality Monoclonal
Applications Flow Cyt (Intra), ICC/IF, IHC-P, WB
Species Reactivity Human, Mouse, Rat
Isotype IgG