JavaScript is disabled in your browser. Please enable JavaScript to view this website.

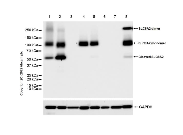
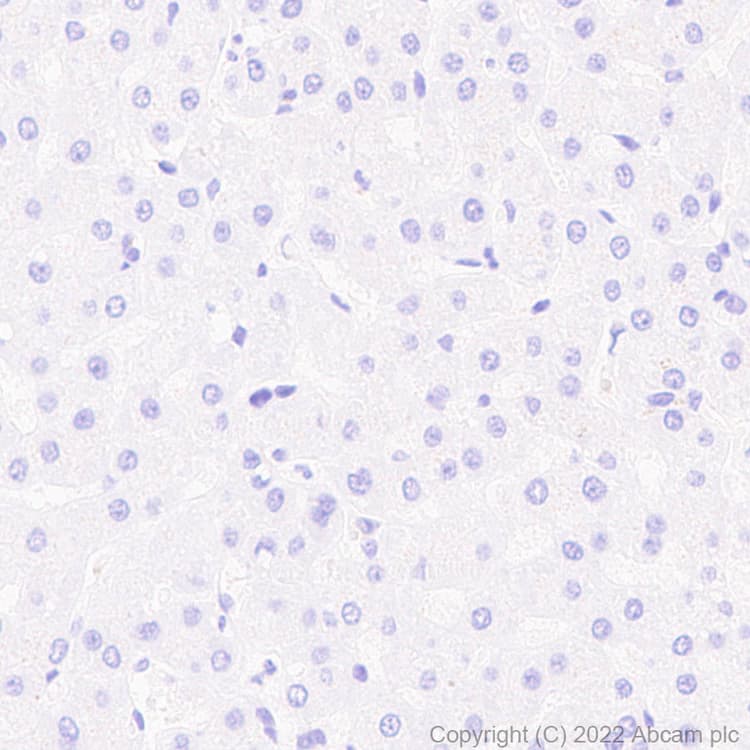
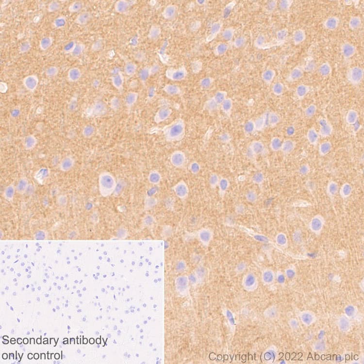
Anti-Sodium/calcium exchanger 2 antibody [EPR25106-37](AB300455)

$undefined

Anti-Sodium/calcium exchanger 2 antibody [EPR25106-37](AB300455)

Anti-Sodium/calcium exchanger 2 antibody [EPR25106-37](AB300455)

Anti-Sodium/calcium exchanger 2 antibody [EPR25106-37](AB300455)

Anti-Sodium/calcium exchanger 2 antibody [EPR25106-37](AB300455)

Anti-Sodium/calcium exchanger 2 antibody [EPR25106-37](AB300455)

Rabbit Monoclonal Sodium/calcium exchanger 2 antibody. Suitable for WB, IHC-P and reacts with Human, Mouse, Rat samples.
Specifications
Shipped At Conditions Blue Ice
Appropriate Long term Storage Conditions Store at -20°C.
Clonality Monoclonal
Applications Flow Cyt, ICC/IF, IHC-Fr, IHC-P, IP, WB
Species Reactivity Human, Mouse, Rat
Isotype IgG