JavaScript is disabled in your browser. Please enable JavaScript to view this website.

Anti-CLEC9A antibody [EPR24271-117] (BSA and Azide free)(AB300434)

$undefined

Clec9a Antibody Epr24271 117 Bsa And Azide Free Ab300434  Immunohistochemistry Formalin Pfa Fixed Paraffin Embedded Sections Img400408

Clec9a Antibody Epr24271 117 Bsa And Azide Free Ab300434  Flow Cytometry Intracellular Img400547

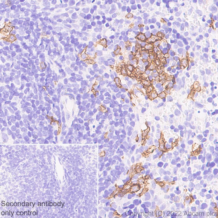
Clec9a Antibody Epr24271 117 Bsa And Azide Free Ab300434  Immunohistochemistry Formalin Pfa Fixed Paraffin Embedded Sections Img400407

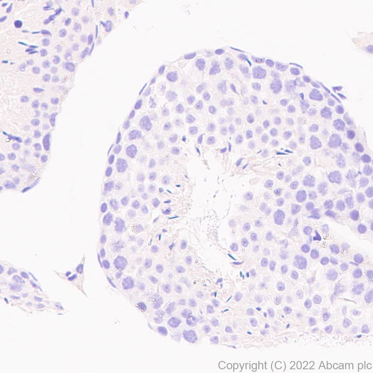
Clec9a Antibody Epr24271 117 Bsa And Azide Free Ab300434  Immunohistochemistry Formalin Pfa Fixed Paraffin Embedded Sections Img400409

Rabbit Recombinant Monoclonal CLEC9A antibody. Carrier free. Suitable for Flow Cyt (Intra), IHC-P and reacts with Mouse samples.
Specifications
Shipped At Conditions Blue Ice
Appropriate Long term Storage Conditions Store at +4°C.
Clonality Monoclonal
Applications Flow Cyt (Intra), ICC/IF, IHC-P, IP, WB
Species Reactivity Human, Mouse, Rat
Isotype IgG