JavaScript is disabled in your browser. Please enable JavaScript to view this website.

Anti-Tau (phospho T217) antibody [EPR24654-110](AB291080)

$undefined

Tau Phospho T217 Antibody Epr24654 110 Ab291080  Dot Blot Img449802

Tau Phospho T217 Antibody Epr24654 110 Ab291080  Immunocytochemistry Immunofluorescence Img401098

Tau Phospho T217 Antibody Epr24654 110 Ab291080  Immunoprecipitation Img449803

Tau Phospho T217 Antibody Epr24654 110 Ab291080  Indirect Elisa Img449804

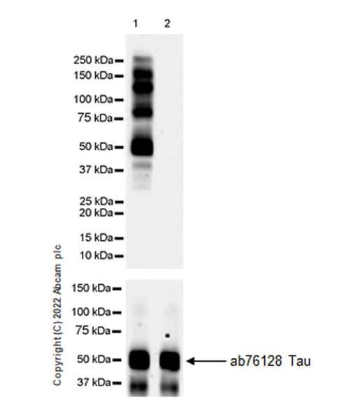
Tau Phospho T217 Antibody Epr24654 110 Ab291080  Western Blot Img401962

Tau Phospho T217 Antibody Epr24654 110 Ab291080  Western Blot Img401963

Rabbit Monoclonal TAU phospho T217 antibody. Suitable for I-ELISA, Dot, IP, ICC/IF, WB and reacts with Synthetic peptide - Human, Mouse, Synthetic peptide samples.
Specifications
Shipped At Conditions Blue Ice
Appropriate Long term Storage Conditions Store at -20°C.
Clonality Monoclonal
Applications Human, Mouse, Rat
Species Reactivity Dot, I-ELISA, ICC/IF, IHC-P, IP, WB
Isotype IgG
Conjugation -
CAS Number -