JavaScript is disabled in your browser. Please enable JavaScript to view this website.

Anti-IL-6 antibody [EPR23819-103](AB290735)

$undefined

Anti-IL-6 antibody [EPR23819-103](AB290735)

Anti-IL-6 antibody [EPR23819-103](AB290735)

Anti-IL-6 antibody [EPR23819-103](AB290735)

Anti-IL-6 antibody [EPR23819-103](AB290735)

Anti-IL-6 antibody [EPR23819-103](AB290735)

Anti-IL-6 antibody [EPR23819-103](AB290735)

Anti-IL-6 antibody [EPR23819-103](AB290735)

Anti-IL-6 antibody [EPR23819-103](AB290735)

Anti-IL-6 antibody [EPR23819-103](AB290735)

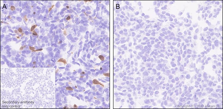
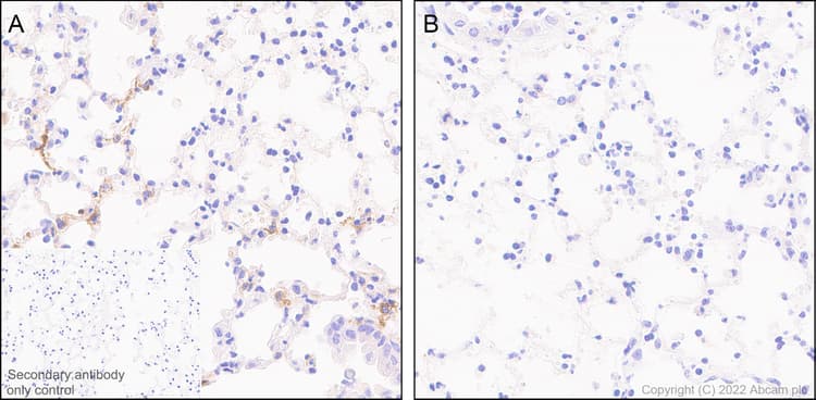
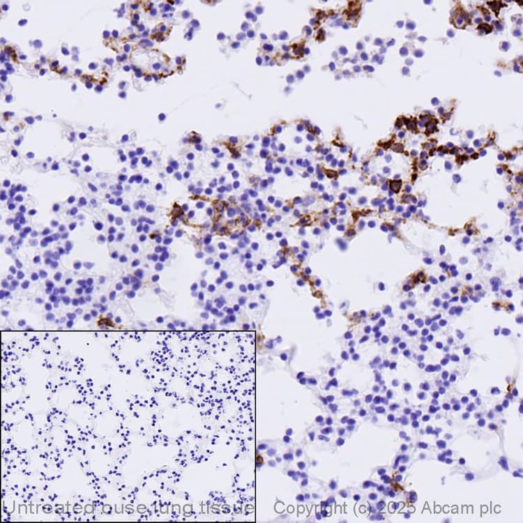
Anti-IL-6 antibody [EPR23819-103] ab290735 is a rabbit monoclonal antibody that is used in IL-6 western blotting, IHC and immunofluorescence. Suitable for mouse samples

- Recombinant format for unrivaled batch-batch consistency: no need for same-lot requests
- Validated on the Leica BOND™ RX automated IHC staining platform for Rabbit IHC
New 20 ul size available
Specifications
Shipped At Conditions Blue Ice
Appropriate Long term Storage Conditions Store at -20°C.
Clonality Monoclonal
Applications Flow Cyt (Intra), ICC/IF, IHC-Fr, IHC-P, IP, WB
Species Reactivity Human, Mouse, Rat
Isotype IgG