JavaScript is disabled in your browser. Please enable JavaScript to view this website.

Anti-PCNA antibody [PC10](AB29)

$undefined

Anti-PCNA antibody [PC10](AB29)

Anti-PCNA antibody [PC10](AB29)

Anti-PCNA antibody [PC10](AB29)

Anti-PCNA antibody [PC10](AB29)

Anti-PCNA antibody [PC10](AB29)

Anti-PCNA antibody [PC10](AB29)

Anti-PCNA antibody [PC10](AB29)

Anti-PCNA antibody [PC10](AB29)

Anti-PCNA antibody [PC10](AB29)

Anti-PCNA antibody [PC10](AB29)

Anti-PCNA antibody [PC10](AB29)

Anti-PCNA antibody [PC10](AB29)

Anti-PCNA antibody [PC10](AB29)

Anti-PCNA antibody [PC10](AB29)

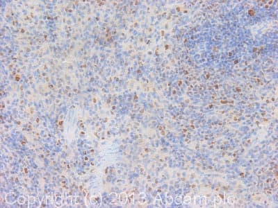
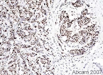
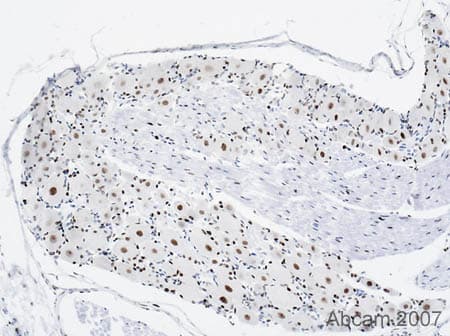
Anti-PCNA antibody [PC10] ab29 is a mouse monoclonal antibody that is used in PCNA western blotting, IHC, immunofluorescence and flow cytometry. Suitable for human, mouse and rat samples.

- Antibody clone PC10 is the most widely used clone for PCNA on the market and is cited in >5650 publications
- One antibody for all your PCNA staining, use in PCNA western blotting, IHC, immunofluorescence and flow cytometry
Same trusted quality, new lower price
Specifications
Shipped At Conditions Blue Ice
Appropriate Long term Storage Conditions Store at -20°C.
Clonality Monoclonal
Applications Flow Cyt (Intra), ICC/IF, IHC-P, WB
Species Reactivity Human, Mouse, Rat
Isotype IgG2a