JavaScript is disabled in your browser. Please enable JavaScript to view this website.

Anti-Myc tag antibody [Hyper-myc](AB289981)

$undefined

Myc Tag Antibody Hyper Myc Ab289981  Immunocytochemistry Immunofluorescence Img171201

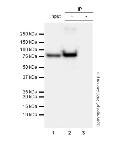
Myc Tag Antibody Hyper Myc Ab289981  Immunoprecipitation Img166424

Myc Tag Antibody Hyper Myc Ab289981  Indirect Elisa Img178883

Myc Tag Antibody Hyper Myc Ab289981  Western Blot Img174176

Human Recombinant Monoclonal C-Myc/MYC antibody. Suitable for ICC/IF, IP, WB, I-ELISA and reacts with Tag samples.
Specifications
Shipped At Conditions Blue Ice
Appropriate Long term Storage Conditions Store at -20°C.
Clonality Monoclonal
Applications Flow Cyt (Intra), I-ELISA, ICC/IF, IP, WB
Isotype IgG1