JavaScript is disabled in your browser. Please enable JavaScript to view this website.

Anti-ROR gamma antibody [Q31-378](ab289552)

$undefined

Anti-ROR gamma antibody [Q31-378](ab289552)

Anti-ROR gamma antibody [Q31-378](ab289552)

Anti-ROR gamma antibody [Q31-378](ab289552)

Anti-ROR gamma antibody [Q31-378](ab289552)

Anti-ROR gamma antibody [Q31-378](ab289552)

Anti-ROR gamma antibody [Q31-378](ab289552)

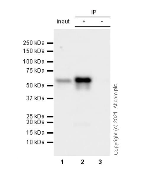
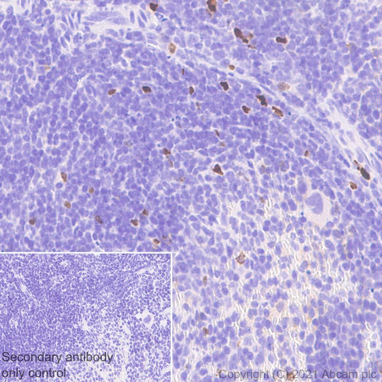
Mouse Recombinant Monoclonal ROR gamma antibody. Suitable for IP, WB, IHC-P, Flow Cyt (Intra) and reacts with Mouse samples.
Specifications
Shipped At Conditions Blue Ice
Appropriate Long term Storage Conditions Store at -20°C.
Clonality Monoclonal
Applications Flow Cyt (Intra), IHC-P, IP, WB
Species Reactivity Human, Mouse, Rat
Isotype IgG2a