JavaScript is disabled in your browser. Please enable JavaScript to view this website.

Anti-Rab5 antibody [1/Rab5](AB288769)

$undefined

Anti-Rab5 antibody [1/Rab5](AB288769)

Anti-Rab5 antibody [1/Rab5](AB288769)

Anti-Rab5 antibody [1/Rab5](AB288769)

Anti-Rab5 antibody [1/Rab5](AB288769)

Anti-Rab5 antibody [1/Rab5](AB288769)

Anti-Rab5 antibody [1/Rab5](AB288769)

Anti-Rab5 antibody [1/Rab5](AB288769)

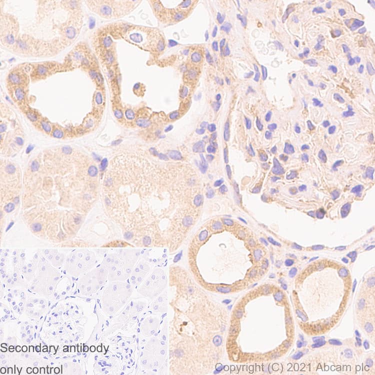
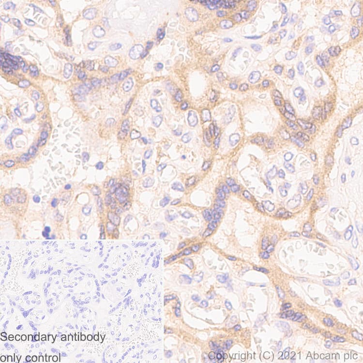
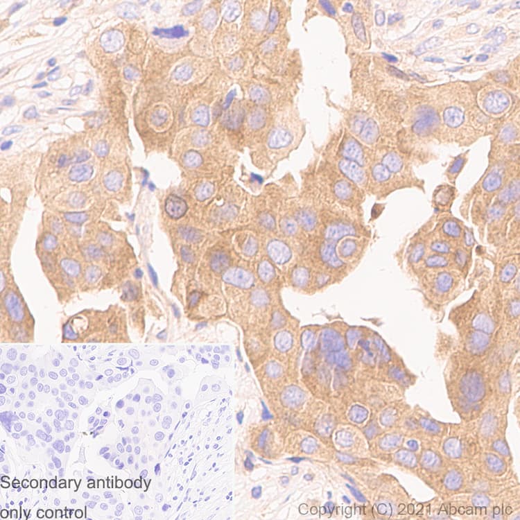
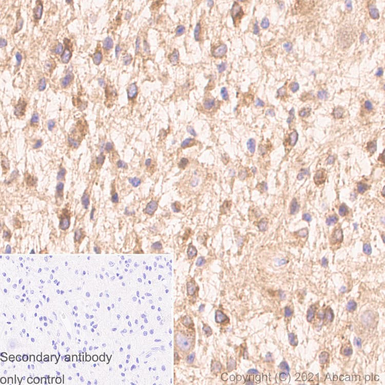
Knockout Tested Mouse Recombinant Monoclonal Rab5A antibody. Suitable for WB, IHC-P and reacts with Human samples.
Specifications
Shipped At Conditions Blue Ice
Appropriate Long term Storage Conditions Store at -20°C.
Clonality Monoclonal
Applications ICC/IF, IHC-P, WB
Species Reactivity Human, Mouse, Rat
Isotype IgG2a