JavaScript is disabled in your browser. Please enable JavaScript to view this website.

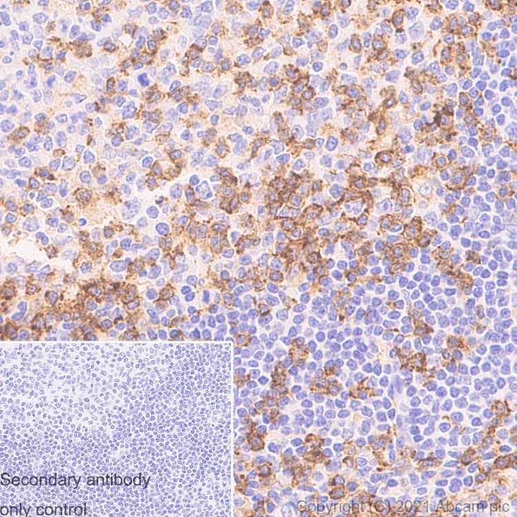
Anti-CD4 antibody [RM1013](AB288724)

$undefined

Anti-CD4 antibody [RM1013](AB288724)

Anti-CD4 antibody [RM1013](AB288724)

Anti-CD4 antibody [RM1013](AB288724)

Anti-CD4 antibody [RM1013](AB288724)

Anti-CD4 antibody [RM1013](AB288724)

Anti-CD4 antibody [RM1013](AB288724)

Anti-CD4 antibody [RM1013](AB288724)

Anti-CD4 antibody [RM1013](AB288724)

Anti-CD4 antibody [RM1013](AB288724)

Anti-CD4 antibody [RM1013](AB288724)

Anti-CD4 antibody [RM1013](AB288724)

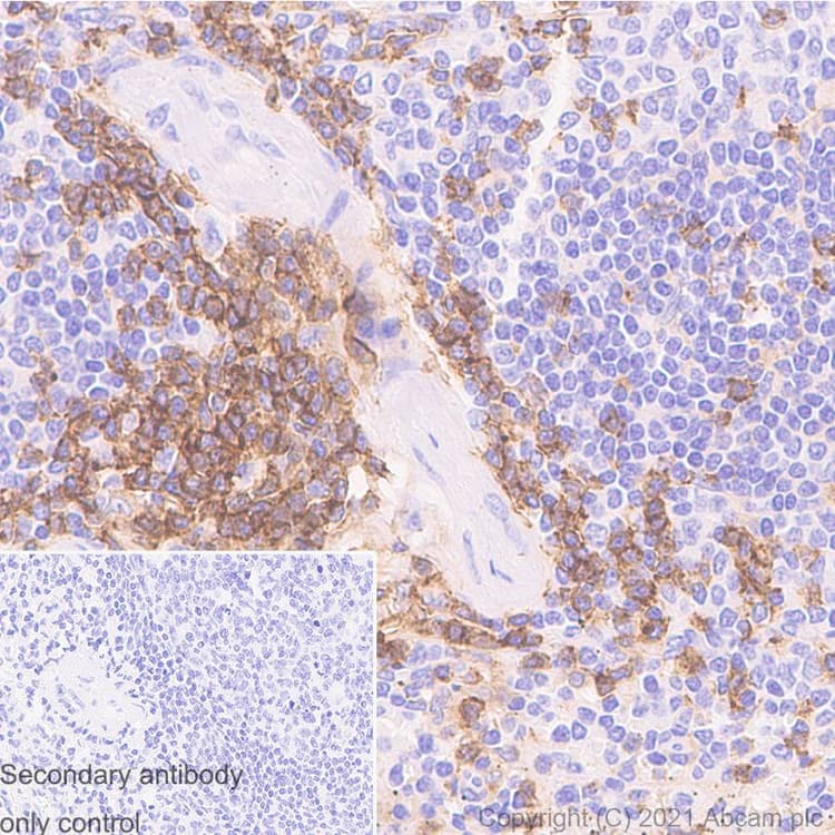
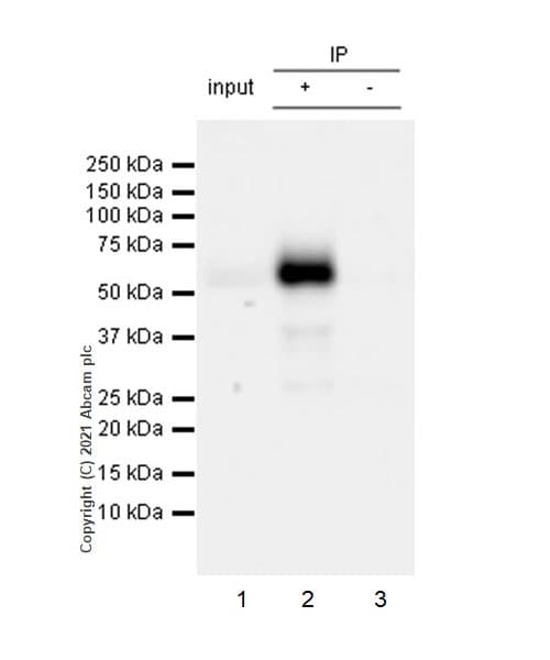
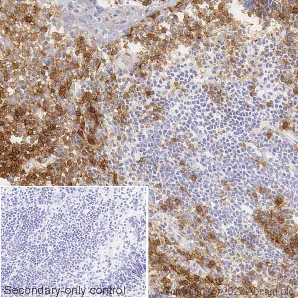
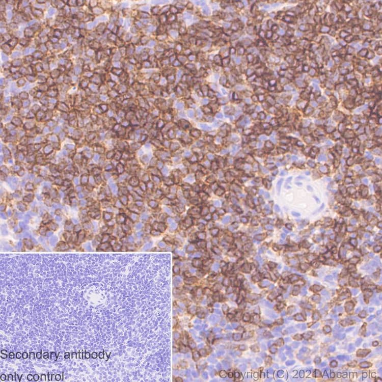
Rabbit Recombinant Multiclonal CD4 antibody. Suitable for IHC-P, IHC-Fr, ICC/IF, IP, WB and reacts with Human, Mouse samples. Cited in 5 publications.
Specifications
Shipped At Conditions Blue Ice
Appropriate Long term Storage Conditions Store at -20°C.
Clonality Multiclonal
Applications Flow Cyt, ICC/IF, IHC-Fr, IHC-P, IP, WB
Species Reactivity Human, Mouse, Rat
Isotype IgG