JavaScript is disabled in your browser. Please enable JavaScript to view this website.

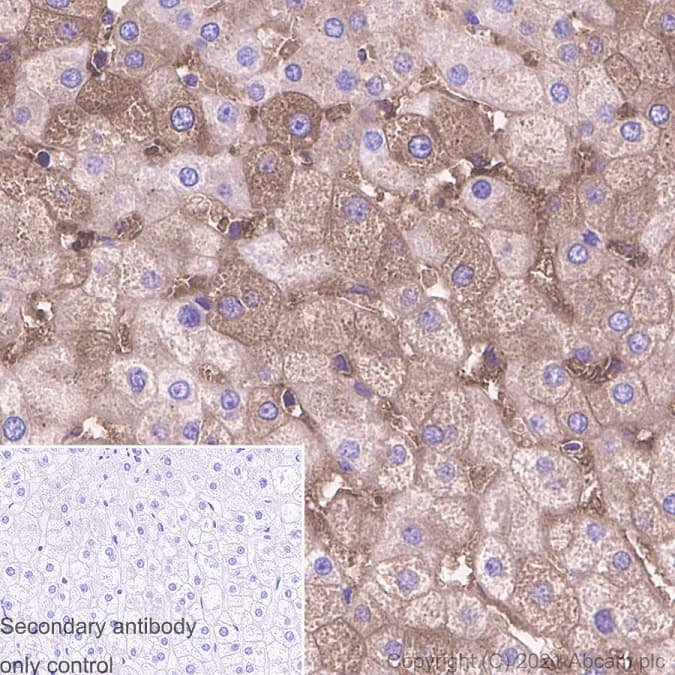
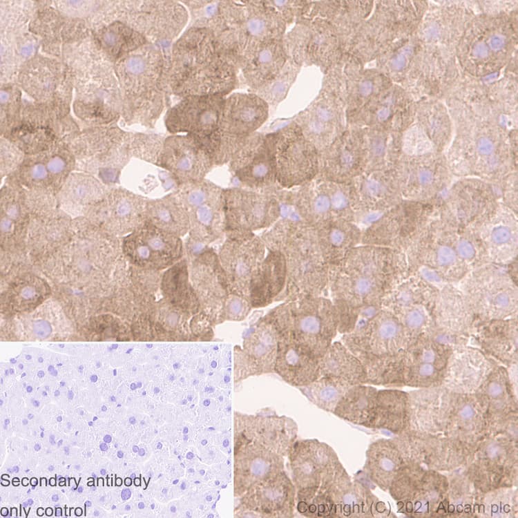
Anti-Ferritin antibody [RM1036](ab287968)

$undefined

Anti-Ferritin antibody [RM1036](ab287968)

Anti-Ferritin antibody [RM1036](ab287968)

Anti-Ferritin antibody [RM1036](ab287968)

Anti-Ferritin antibody [RM1036](ab287968)

Anti-Ferritin antibody [RM1036](ab287968)

Anti-Ferritin antibody [RM1036](ab287968)

Anti-Ferritin antibody [RM1036](ab287968)

Rabbit Recombinant Multiclonal Ferritin Heavy Chain antibody. Suitable for Flow Cyt (Intra), WB, IHC-P and reacts with Mouse, Human, Rat samples. Cited in 2 publications.
Specifications
Shipped At Conditions Blue Ice
Appropriate Long term Storage Conditions Store at -20°C.
Clonality Multiclonal
Applications Flow Cyt (Intra), ICC/IF, IHC-Fr, IHC-P, IP, WB
Species Reactivity Human, Mouse, Rat
Isotype IgG