JavaScript is disabled in your browser. Please enable JavaScript to view this website.

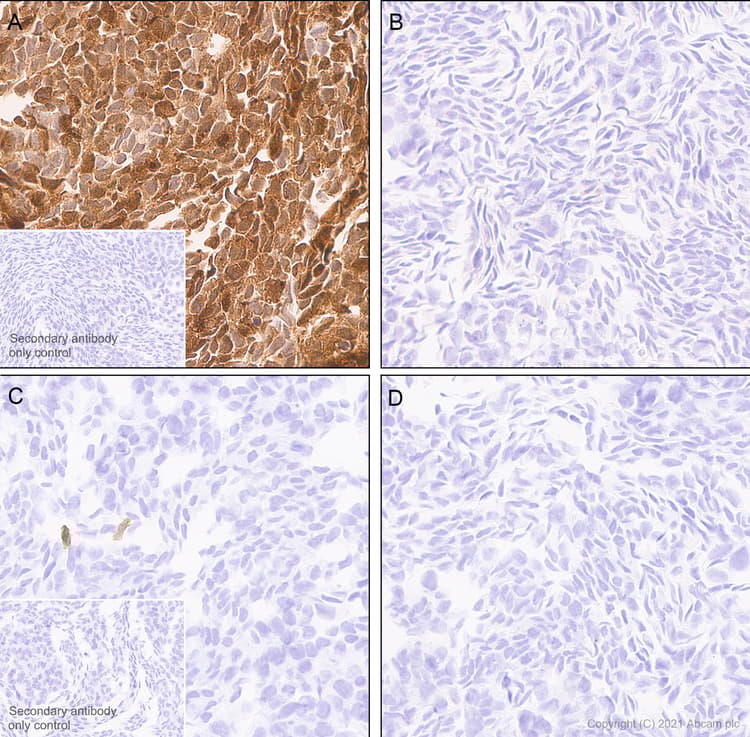
Anti-ISG15 antibody [EPR24482-49](ab285367)

$undefined

Anti-ISG15 antibody [EPR24482-49](ab285367)

Anti-ISG15 antibody [EPR24482-49](ab285367)

Anti-ISG15 antibody [EPR24482-49](ab285367)

Anti-ISG15 antibody [EPR24482-49](ab285367)

Anti-ISG15 antibody [EPR24482-49](ab285367)

Anti-ISG15 antibody [EPR24482-49](ab285367)

Anti-ISG15 antibody [EPR24482-49](ab285367)

Rabbit Recombinant Monoclonal ISG15 antibody. Suitable for IP, WB, IHC-P, ICC/IF, Flow Cyt (Intra) and reacts with Human samples. Cited in 5 publications.
Specifications
Shipped At Conditions Blue Ice
Appropriate Long term Storage Conditions Store at -20°C.
Clonality Monoclonal
Applications Flow Cyt (Intra), ICC/IF, IHC-P, IP, WB
Species Reactivity Human, Mouse, Rat
Isotype IgG