JavaScript is disabled in your browser. Please enable JavaScript to view this website.

Anti-CD133 antibody [RM1029](ab284389)

$undefined

Anti-CD133 antibody [RM1029](ab284389)

Anti-CD133 antibody [RM1029](ab284389)

Anti-CD133 antibody [RM1029](ab284389)

Anti-CD133 antibody [RM1029](ab284389)

Anti-CD133 antibody [RM1029](ab284389)

Anti-CD133 antibody [RM1029](ab284389)

Anti-CD133 antibody [RM1029](ab284389)

Anti-CD133 antibody [RM1029](ab284389)

Anti-CD133 antibody [RM1029](ab284389)

Anti-CD133 antibody [RM1029](ab284389)

Anti-CD133 antibody [RM1029](ab284389)

Anti-CD133 antibody [RM1029](ab284389)

Anti-CD133 antibody [RM1029](ab284389)

Anti-CD133 antibody [RM1029](ab284389)

Anti-CD133 antibody [RM1029](ab284389)

Anti-CD133 antibody [RM1029](ab284389)

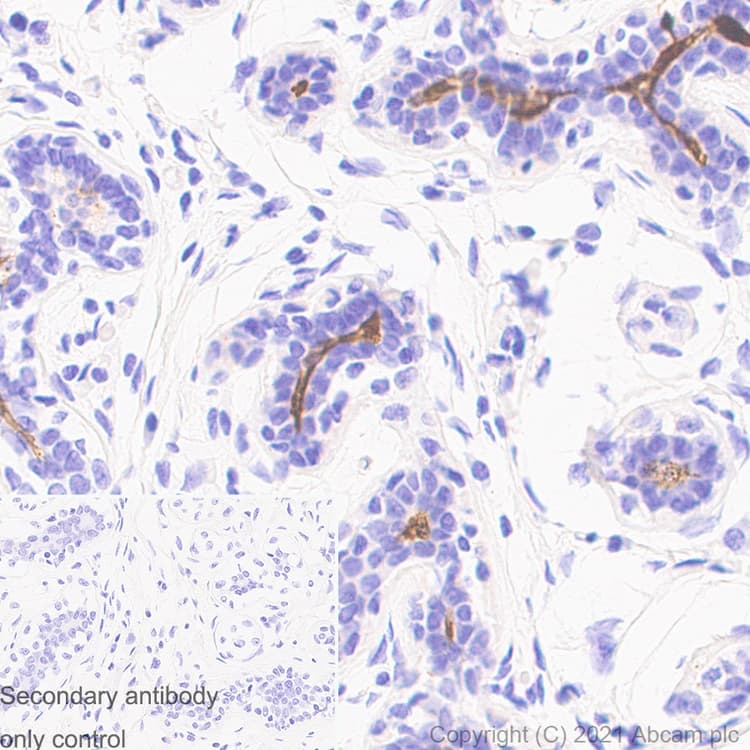
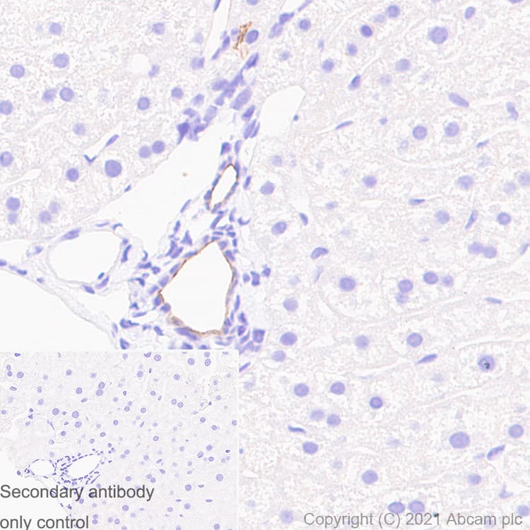
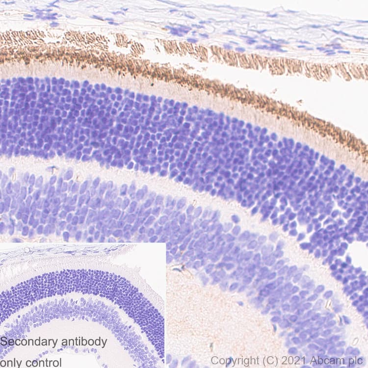
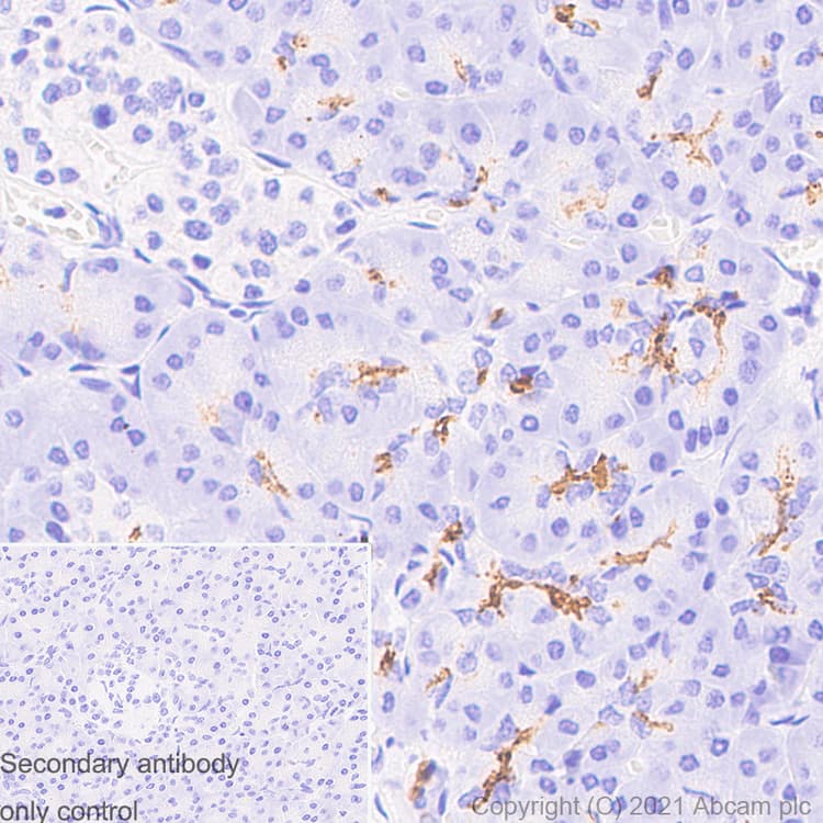
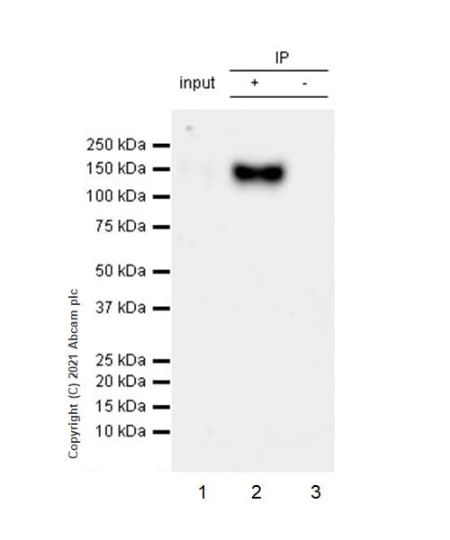
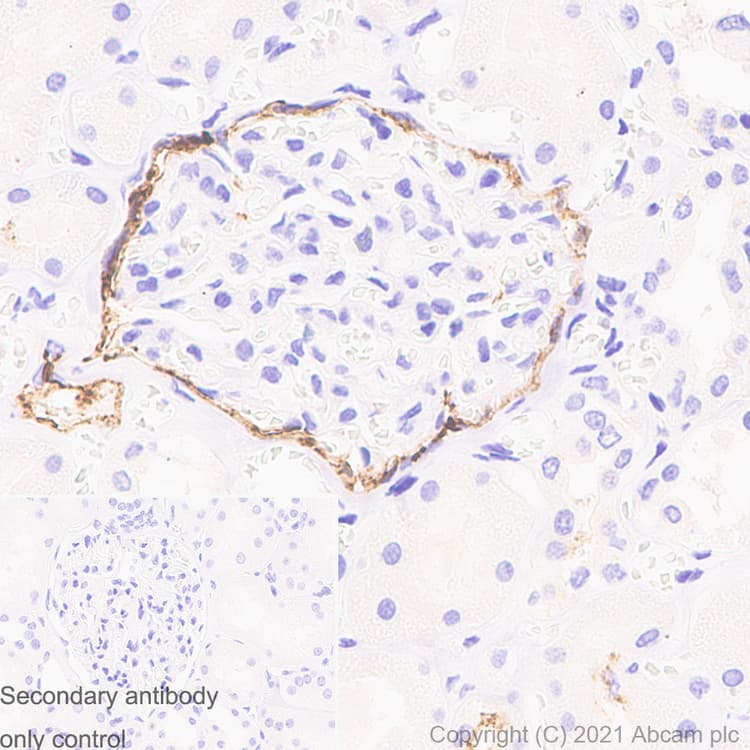
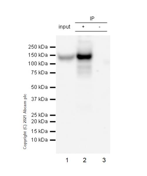
Rabbit Recombinant Multiclonal CD133 antibody. Suitable for ICC, IP, Flow Cyt, WB, IHC-P, IHC-Fr and reacts with Human, Mouse samples. Cited in 3 publications.
Specifications
Shipped At Conditions Blue Ice
Appropriate Long term Storage Conditions Store at -20°C.
Clonality Multiclonal
Applications Flow Cyt, ICC, IHC-Fr, IHC-P, IP, WB
Species Reactivity Human, Mouse, Rat
Isotype IgG