JavaScript is disabled in your browser. Please enable JavaScript to view this website.

Anti-CD47 antibody [RM1014] - BSA and Azide free(ab284138)

$undefined

Anti-CD47 antibody [RM1014] - BSA and Azide free(ab284138)

Anti-CD47 antibody [RM1014] - BSA and Azide free(ab284138)

Anti-CD47 antibody [RM1014] - BSA and Azide free(ab284138)

Anti-CD47 antibody [RM1014] - BSA and Azide free(ab284138)

Anti-CD47 antibody [RM1014] - BSA and Azide free(ab284138)

Anti-CD47 antibody [RM1014] - BSA and Azide free(ab284138)

Anti-CD47 antibody [RM1014] - BSA and Azide free(ab284138)

Anti-CD47 antibody [RM1014] - BSA and Azide free(ab284138)

Anti-CD47 antibody [RM1014] - BSA and Azide free(ab284138)

Anti-CD47 antibody [RM1014] - BSA and Azide free(ab284138)

Anti-CD47 antibody [RM1014] - BSA and Azide free(ab284138)

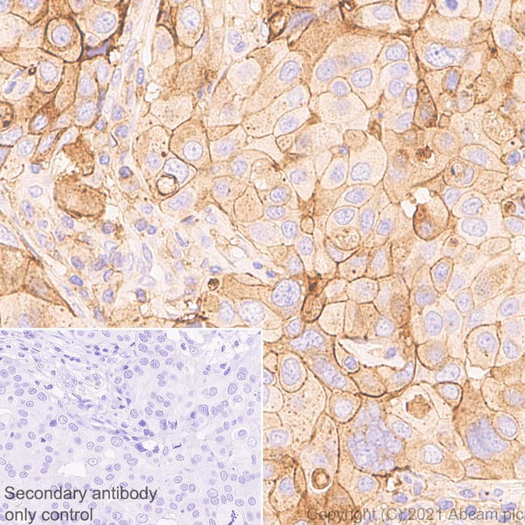
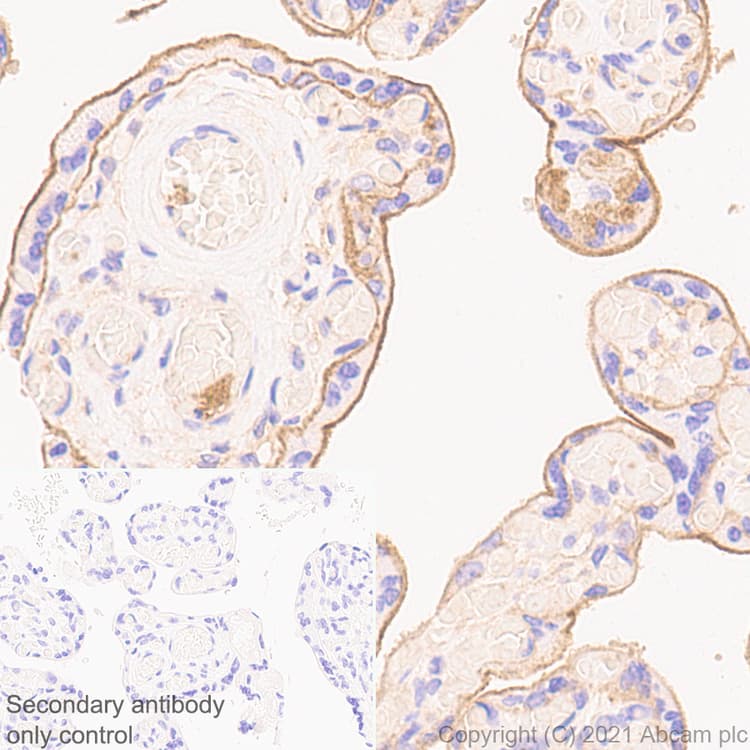
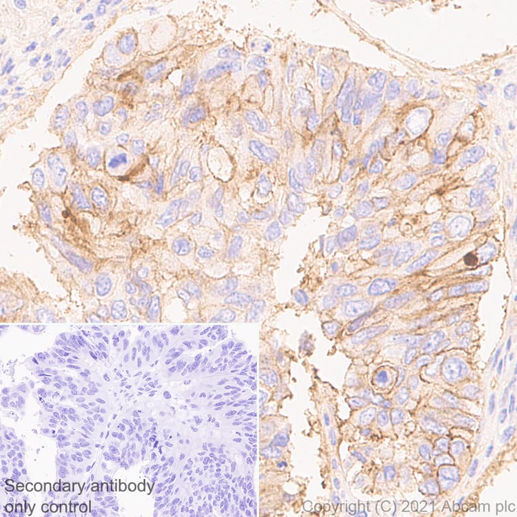
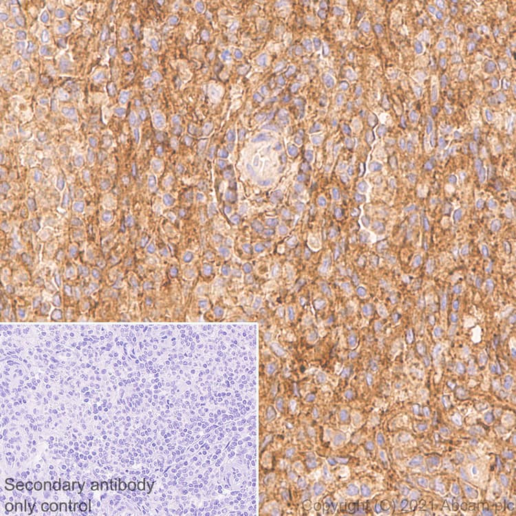
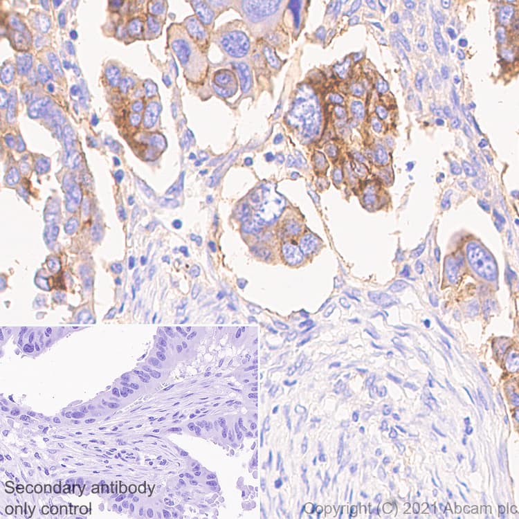
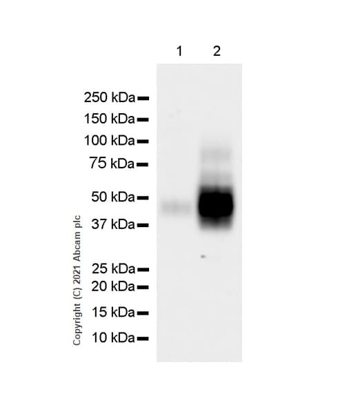
Rabbit Recombinant Multiclonal CD47 antibody. Carrier free. Suitable for ICC/IF, Flow Cyt, WB, IHC-P and reacts with Human samples.
Specifications
Shipped At Conditions Blue Ice
Appropriate Long term Storage Conditions Store at +4°C.
Clonality Multiclonal
Applications Flow Cyt, ICC/IF, IHC-P, IP, WB
Species Reactivity Human, Mouse, Rat
Isotype IgG