JavaScript is disabled in your browser. Please enable JavaScript to view this website.

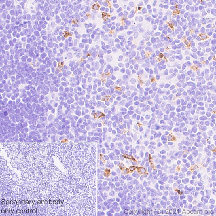
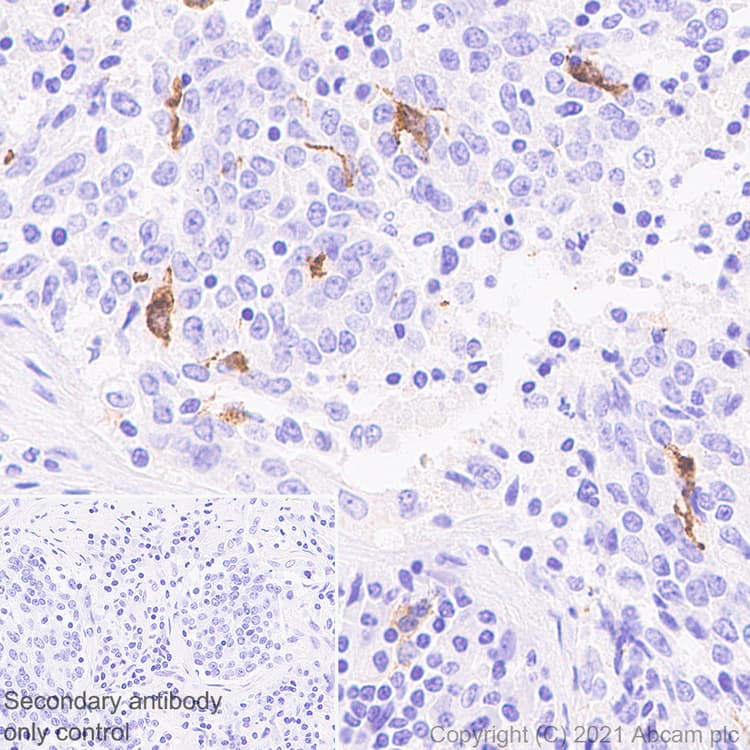
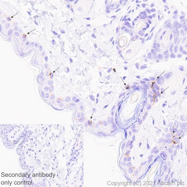
Anti-Langerin antibody [EPR24685-12](AB283686)

$undefined

Anti-Langerin antibody [EPR24685-12](AB283686)

Anti-Langerin antibody [EPR24685-12](AB283686)

Anti-Langerin antibody [EPR24685-12](AB283686)

Anti-Langerin antibody [EPR24685-12](AB283686)

Anti-Langerin antibody [EPR24685-12](AB283686)

Anti-Langerin antibody [EPR24685-12](AB283686)

Anti-Langerin antibody [EPR24685-12](AB283686)

Anti-Langerin antibody [EPR24685-12](AB283686)

Anti-Langerin antibody [EPR24685-12](AB283686)

Rabbit Recombinant Monoclonal Langerin antibody. Suitable for IHC-P, IHC-Fr, mIHC and reacts with Mouse, Human samples. Cited in 1 publication.
Specifications
Shipped At Conditions Blue Ice
Appropriate Long term Storage Conditions Store at -20°C.
Clonality Monoclonal
Applications Human, Mouse, Rat
Species Reactivity Flow Cyt (Intra), IHC-Fr, IHC-P, IP, WB, mIHC
Isotype IgG
Conjugation -
CAS Number -