JavaScript is disabled in your browser. Please enable JavaScript to view this website.

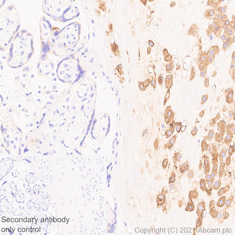
Anti-HLA G antibody [EPR23298-97](ab283260)

$undefined

Anti-HLA G antibody [EPR23298-97](ab283260)

Anti-HLA G antibody [EPR23298-97](ab283260)

Anti-HLA G antibody [EPR23298-97](ab283260)

Anti-HLA G antibody [EPR23298-97](ab283260)

Anti-HLA G antibody [EPR23298-97](ab283260)

Anti-HLA G antibody [EPR23298-97](ab283260)

Rabbit Recombinant Monoclonal HLAG antibody. Suitable for WB, IHC-P, ICC/IF and reacts with Human samples. Cited in 5 publications.
Specifications
Shipped At Conditions Blue Ice
Appropriate Long term Storage Conditions Store at -20°C.
Clonality Monoclonal
Applications Flow Cyt, ICC/IF, IHC-P, IP, WB
Species Reactivity Human, Mouse, Rat
Isotype IgG