JavaScript is disabled in your browser. Please enable JavaScript to view this website.

Anti-MeCP2 antibody(ab2828)

$undefined

Anti-MeCP2 antibody(ab2828)

Anti-MeCP2 antibody(ab2828)

Anti-MeCP2 antibody(ab2828)

Anti-MeCP2 antibody(ab2828)

Anti-MeCP2 antibody(ab2828)

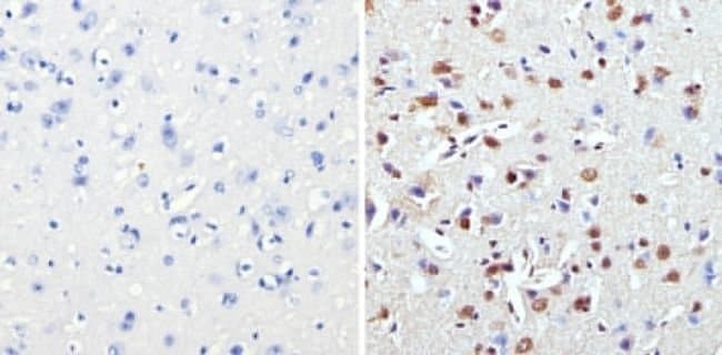
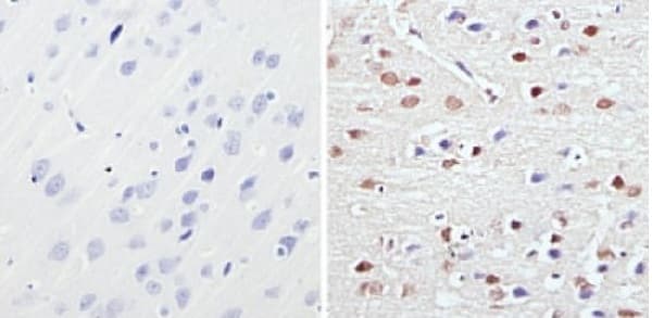
Rabbit Polyclonal MECP2 antibody. Suitable for WB, IHC-P, ICC/IF and reacts with Human, Mouse, Rat samples. Cited in 90 publications. Immunogen corresponding to Synthetic Peptide within Mouse Mecp2 aa 1-50.
Specifications
Shipped At Conditions Blue Ice
Appropriate Long term Storage Conditions Store at -20°C.
Clonality Polyclonal
Applications ICC/IF, IHC-P, WB
Species Reactivity Human, Mouse, Rat
Isotype IgG