JavaScript is disabled in your browser. Please enable JavaScript to view this website.

Anti-LYVE1 antibody [RM1008] - BSA and Azide free(ab282748)

$undefined

Anti-LYVE1 antibody [RM1008] - BSA and Azide free(ab282748)

Anti-LYVE1 antibody [RM1008] - BSA and Azide free(ab282748)

Anti-LYVE1 antibody [RM1008] - BSA and Azide free(ab282748)

Anti-LYVE1 antibody [RM1008] - BSA and Azide free(ab282748)

Anti-LYVE1 antibody [RM1008] - BSA and Azide free(ab282748)

Anti-LYVE1 antibody [RM1008] - BSA and Azide free(ab282748)

Anti-LYVE1 antibody [RM1008] - BSA and Azide free(ab282748)

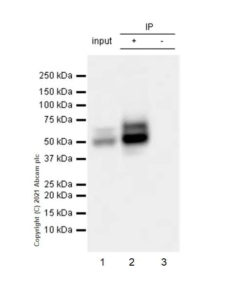
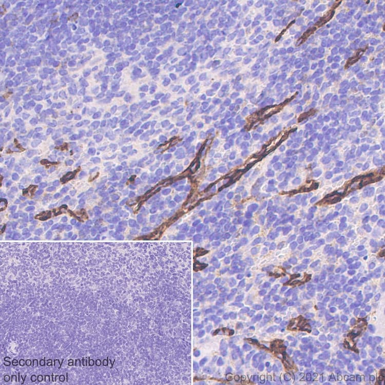
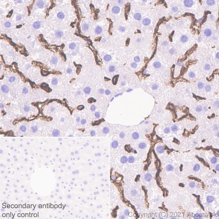
Rabbit Recombinant Multiclonal LYVE1 antibody. Carrier free. Suitable for IP, Flow Cyt, WB, IHC-P, IHC-Fr and reacts with Mouse, Human samples.
Specifications
Shipped At Conditions Blue Ice
Appropriate Long term Storage Conditions Store at +4°C.
Clonality Multiclonal
Applications Flow Cyt, ICC/IF, IHC-Fr, IHC-P, IP, WB
Species Reactivity Human, Mouse, Rat
Isotype IgG