JavaScript is disabled in your browser. Please enable JavaScript to view this website.

Anti-CD31 antibody [RM1006] - BSA and Azide free(ab282746)

$undefined

Anti-CD31 antibody [RM1006] - BSA and Azide free(ab282746)

Anti-CD31 antibody [RM1006] - BSA and Azide free(ab282746)

Anti-CD31 antibody [RM1006] - BSA and Azide free(ab282746)

Anti-CD31 antibody [RM1006] - BSA and Azide free(ab282746)

Anti-CD31 antibody [RM1006] - BSA and Azide free(ab282746)

Anti-CD31 antibody [RM1006] - BSA and Azide free(ab282746)

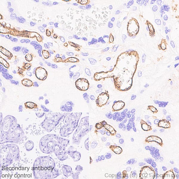
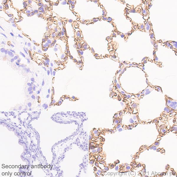
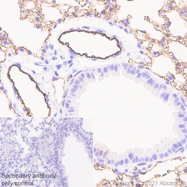
Rabbit Recombinant Multiclonal CD31 antibody. Carrier free. Suitable for WB, IHC-P, IP and reacts with Human, Mouse, Rat samples. Cited in 1 publication.
Specifications
Shipped At Conditions Blue Ice
Appropriate Long term Storage Conditions Store at +4°C.
Clonality Multiclonal
Applications Flow Cyt, ICC/IF, IHC-Fr, IHC-P, IP, WB
Species Reactivity Human, Mouse, Rat
Isotype IgG