JavaScript is disabled in your browser. Please enable JavaScript to view this website.

Anti-CD133 antibody [RM1002] - BSA and Azide free(ab282745)

$undefined

Anti-CD133 antibody [RM1002] - BSA and Azide free(ab282745)

Anti-CD133 antibody [RM1002] - BSA and Azide free(ab282745)

Anti-CD133 antibody [RM1002] - BSA and Azide free(ab282745)

Anti-CD133 antibody [RM1002] - BSA and Azide free(ab282745)

Anti-CD133 antibody [RM1002] - BSA and Azide free(ab282745)

Anti-CD133 antibody [RM1002] - BSA and Azide free(ab282745)

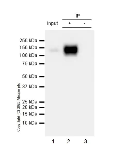
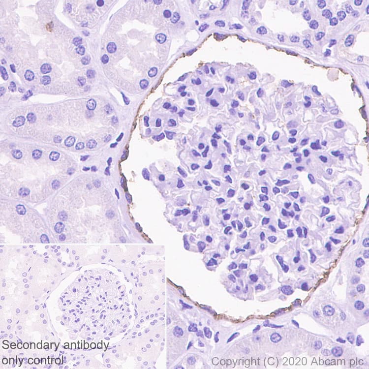
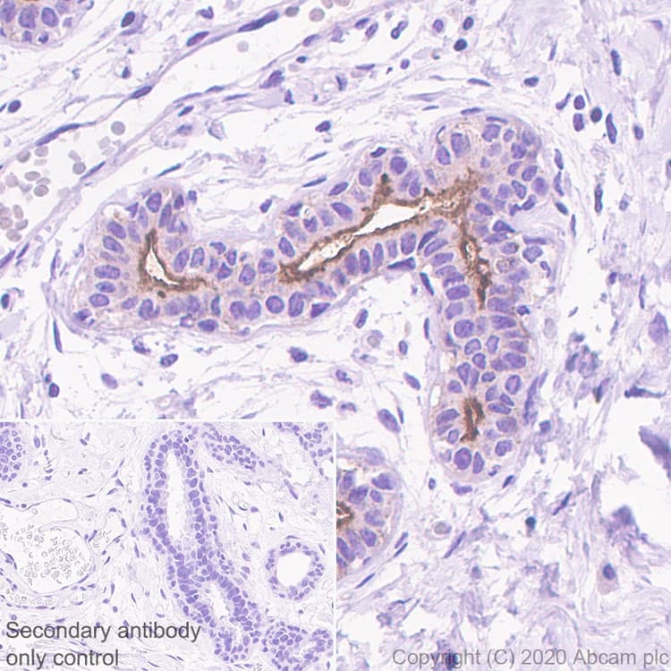
Rabbit Recombinant Multiclonal CD133 antibody. Carrier free. Suitable for IP, Flow Cyt, WB, IHC-P and reacts with Human samples.
Specifications
Shipped At Conditions Blue Ice
Appropriate Long term Storage Conditions Store at +4°C.
Clonality Multiclonal
Applications Flow Cyt, ICC/IF, IHC-Fr, IHC-P, IP, WB
Species Reactivity Human, Mouse, Rat
Isotype IgG