JavaScript is disabled in your browser. Please enable JavaScript to view this website.

Anti-TATA binding protein TBP antibody [mabcam51841] (BSA and Azide free)(ab282715)

$undefined

Anti-TATA binding protein TBP antibody [mabcam51841] (BSA and Azide free)(ab282715)

Anti-TATA binding protein TBP antibody [mabcam51841] (BSA and Azide free)(ab282715)

Anti-TATA binding protein TBP antibody [mabcam51841] (BSA and Azide free)(ab282715)

Anti-TATA binding protein TBP antibody [mabcam51841] (BSA and Azide free)(ab282715)

Anti-TATA binding protein TBP antibody [mabcam51841] (BSA and Azide free)(ab282715)

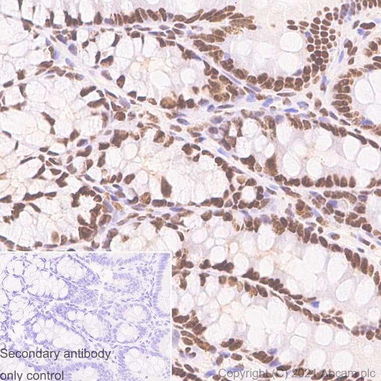
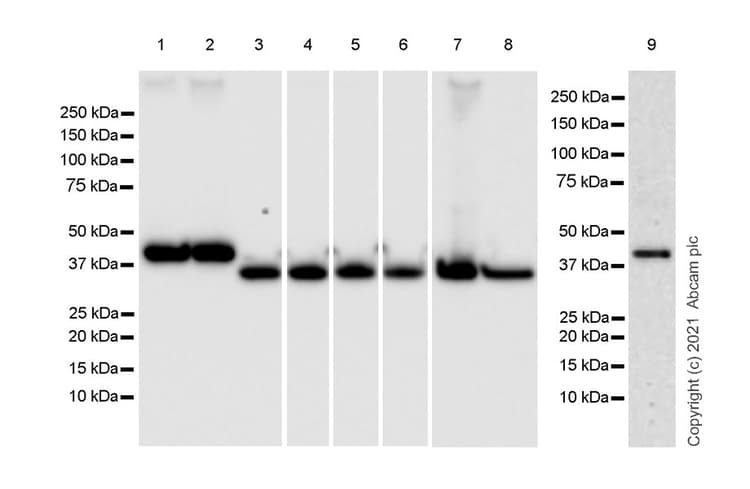
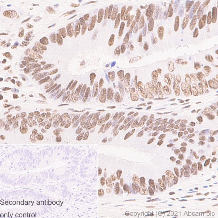
Mouse Monoclonal TATA binding protein TBP antibody. Carrier free. Suitable for ChIP, IP, IHC-P, WB and reacts with Human, Mouse, Rat samples.
Specifications
Shipped At Conditions Blue Ice
Appropriate Long term Storage Conditions Store at +4°C.
Clonality Monoclonal
Applications ChIP, Flow Cyt (Intra), ICC, IHC-P, IP, WB
Species Reactivity Human, Mouse, Rat
Isotype IgG2c