JavaScript is disabled in your browser. Please enable JavaScript to view this website.

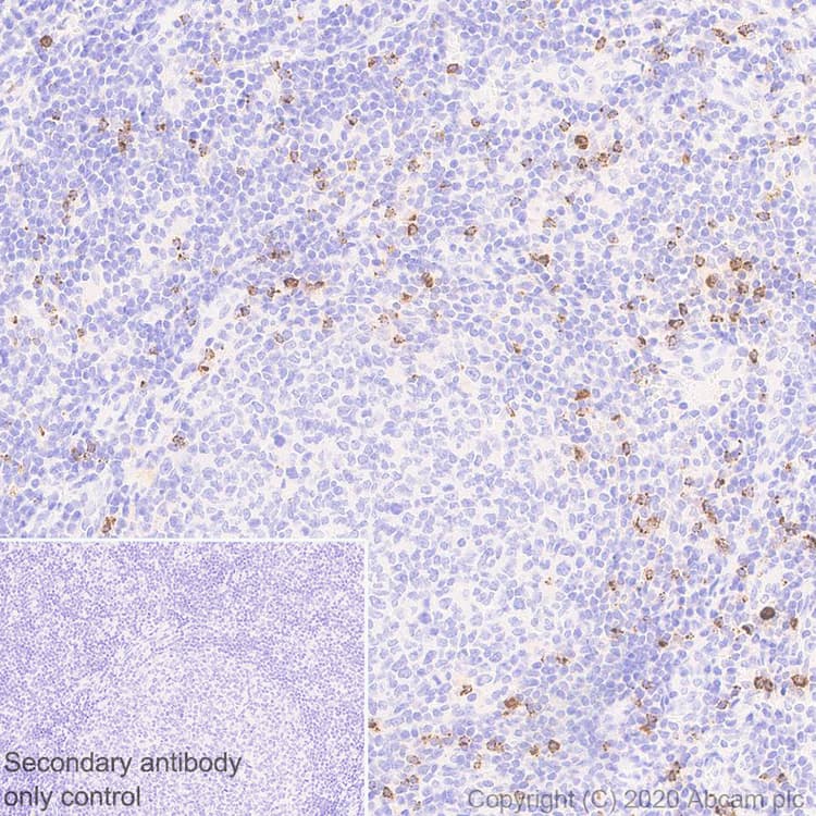
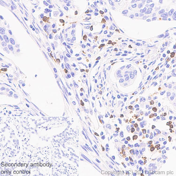
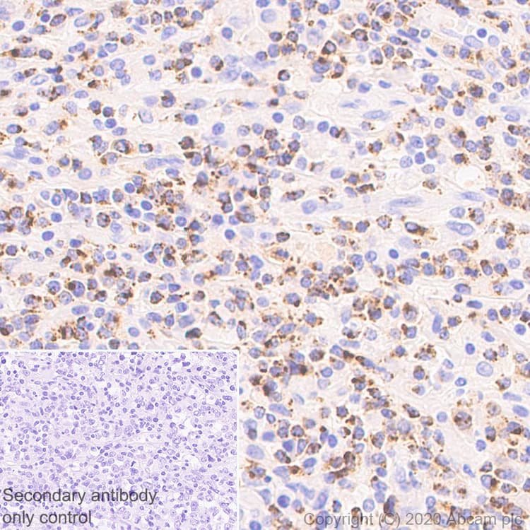
Anti-Granzyme K antibody [EPR24601-164](ab282703)

$undefined

Anti-Granzyme K antibody [EPR24601-164](ab282703)

Anti-Granzyme K antibody [EPR24601-164](ab282703)

Anti-Granzyme K antibody [EPR24601-164](ab282703)

Anti-Granzyme K antibody [EPR24601-164](ab282703)

Anti-Granzyme K antibody [EPR24601-164](ab282703)

Anti-Granzyme K antibody [EPR24601-164](ab282703)

Anti-Granzyme K antibody [EPR24601-164](ab282703)

Rabbit Recombinant Monoclonal Granzyme K antibody. Suitable for WB, IHC-P and reacts with Human samples. Cited in 1 publication.
Specifications
Shipped At Conditions Blue Ice
Appropriate Long term Storage Conditions Store at -20°C.
Clonality Monoclonal
Applications Flow Cyt (Intra), ICC/IF, IHC-P, IP, WB
Species Reactivity Human, Mouse, Rat
Isotype IgG