JavaScript is disabled in your browser. Please enable JavaScript to view this website.

Anti-PSME3 antibody [EPR24504-11] - BSA and Azide free(ab282600)

$undefined

Anti-PSME3 antibody [EPR24504-11] - BSA and Azide free(ab282600)

Anti-PSME3 antibody [EPR24504-11] - BSA and Azide free(ab282600)

Anti-PSME3 antibody [EPR24504-11] - BSA and Azide free(ab282600)

Anti-PSME3 antibody [EPR24504-11] - BSA and Azide free(ab282600)

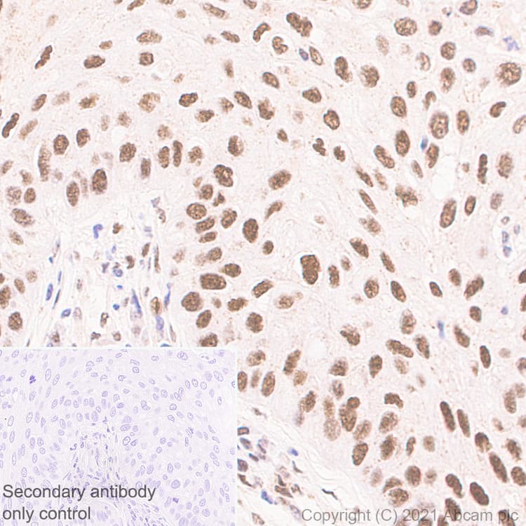
Rabbit Recombinant Monoclonal PSME3 antibody. Carrier free. Suitable for IHC-P and reacts with Human samples.
Specifications
Shipped At Conditions Blue Ice
Appropriate Long term Storage Conditions Store at +4°C.
Clonality Monoclonal
Applications Flow Cyt (Intra), ICC/IF, IHC-P, IP, WB
Species Reactivity Human, Mouse, Rat
Isotype IgG