JavaScript is disabled in your browser. Please enable JavaScript to view this website.

Anti-MCU antibody [EPR24788-158] - BSA and Azide free(ab282592)

$undefined

Anti-MCU antibody [EPR24788-158] - BSA and Azide free(ab282592)

Anti-MCU antibody [EPR24788-158] - BSA and Azide free(ab282592)

Anti-MCU antibody [EPR24788-158] - BSA and Azide free(ab282592)

Anti-MCU antibody [EPR24788-158] - BSA and Azide free(ab282592)

Anti-MCU antibody [EPR24788-158] - BSA and Azide free(ab282592)

Anti-MCU antibody [EPR24788-158] - BSA and Azide free(ab282592)

Anti-MCU antibody [EPR24788-158] - BSA and Azide free(ab282592)

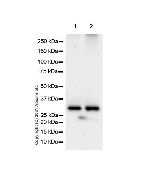
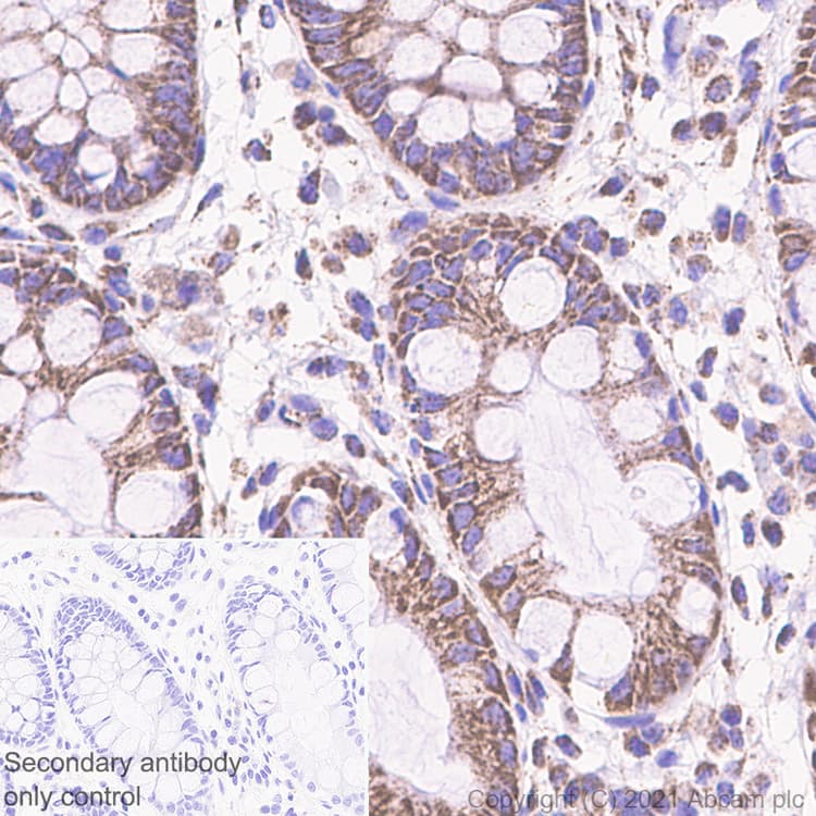
Rabbit Recombinant Monoclonal MCU antibody. Carrier free. Suitable for IP, WB, IHC-P, Flow Cyt (Intra) and reacts with Human samples.
Specifications
Shipped At Conditions Blue Ice
Appropriate Long term Storage Conditions Store at +4°C.
Clonality Monoclonal
Applications Flow Cyt (Intra), ICC/IF, IHC-P, IP, WB
Species Reactivity Human, Mouse, Rat
Isotype IgG