JavaScript is disabled in your browser. Please enable JavaScript to view this website.

Anti-IL-2RG antibody [EPR24694-133] - BSA and Azide free(ab282585)

$undefined

Anti-IL-2RG antibody [EPR24694-133] - BSA and Azide free(ab282585)

Anti-IL-2RG antibody [EPR24694-133] - BSA and Azide free(ab282585)

Anti-IL-2RG antibody [EPR24694-133] - BSA and Azide free(ab282585)

Anti-IL-2RG antibody [EPR24694-133] - BSA and Azide free(ab282585)

Anti-IL-2RG antibody [EPR24694-133] - BSA and Azide free(ab282585)

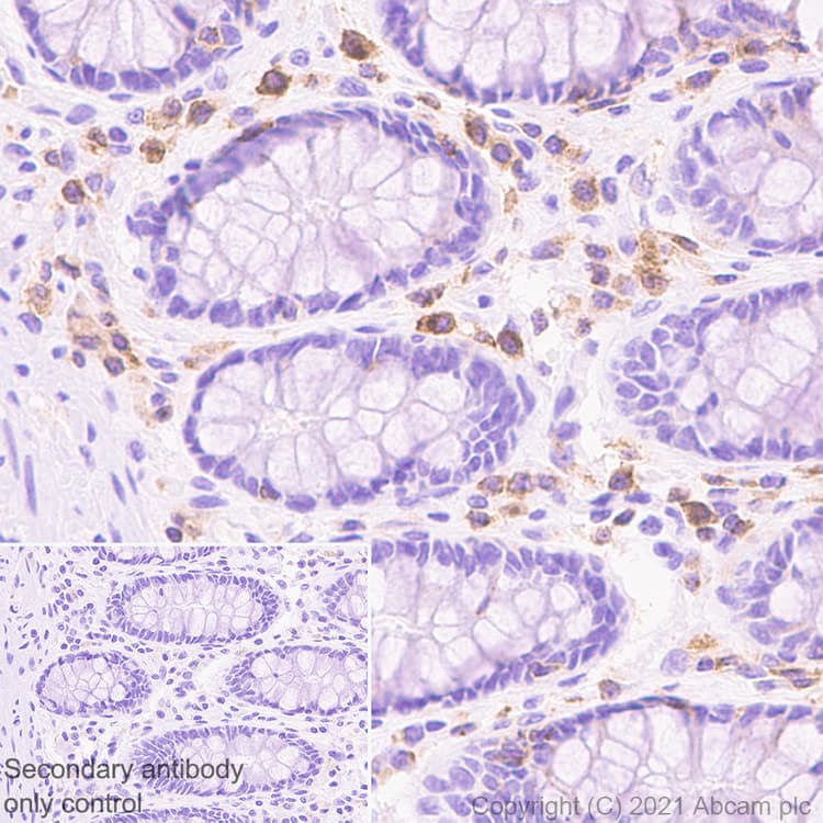
Rabbit Recombinant Monoclonal IL-2RG antibody. Carrier free. Suitable for IP, WB, IHC-P and reacts with Human, Mouse, Rat samples.
Specifications
Shipped At Conditions Blue Ice
Appropriate Long term Storage Conditions Store at +4°C.
Clonality Monoclonal
Applications Flow Cyt, ICC/IF, IHC-P, IP, WB
Species Reactivity Human, Mouse, Rat
Isotype IgG