JavaScript is disabled in your browser. Please enable JavaScript to view this website.

Anti-GLG1 antibody [EPR24347-15] - BSA and Azide free(ab282584)

$undefined

Anti-GLG1 antibody [EPR24347-15] - BSA and Azide free(ab282584)

Anti-GLG1 antibody [EPR24347-15] - BSA and Azide free(ab282584)

Anti-GLG1 antibody [EPR24347-15] - BSA and Azide free(ab282584)

Anti-GLG1 antibody [EPR24347-15] - BSA and Azide free(ab282584)

Anti-GLG1 antibody [EPR24347-15] - BSA and Azide free(ab282584)

Anti-GLG1 antibody [EPR24347-15] - BSA and Azide free(ab282584)

Anti-GLG1 antibody [EPR24347-15] - BSA and Azide free(ab282584)

Anti-GLG1 antibody [EPR24347-15] - BSA and Azide free(ab282584)

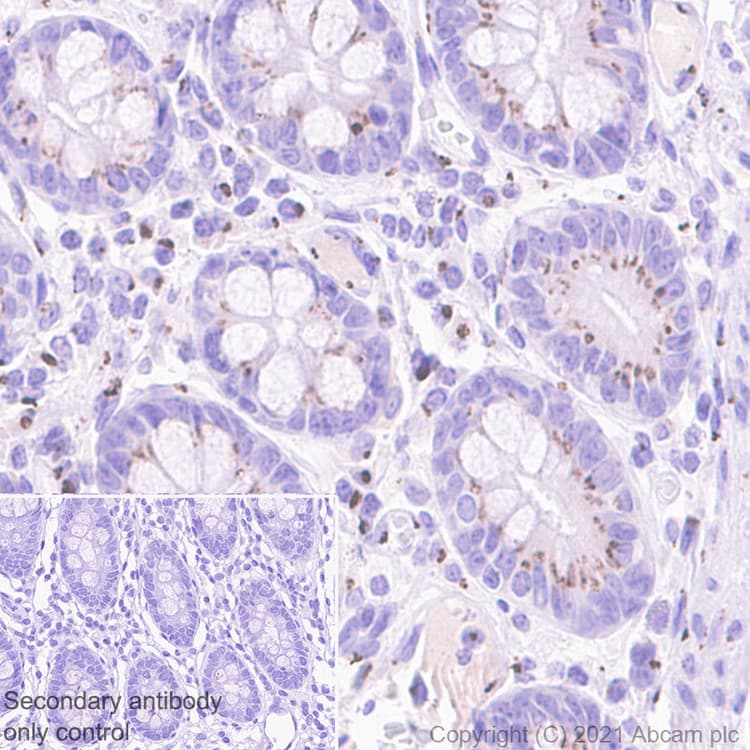
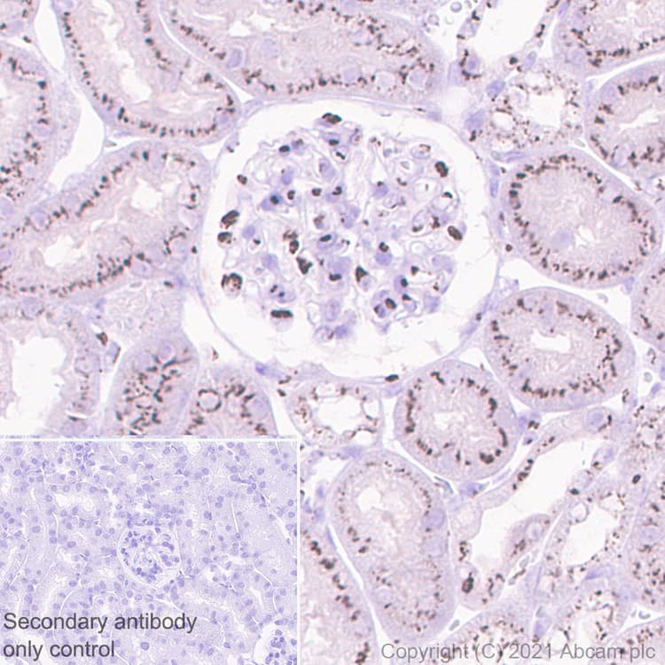
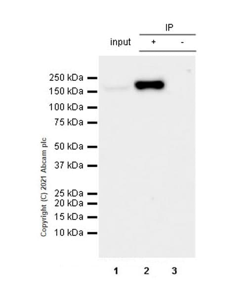
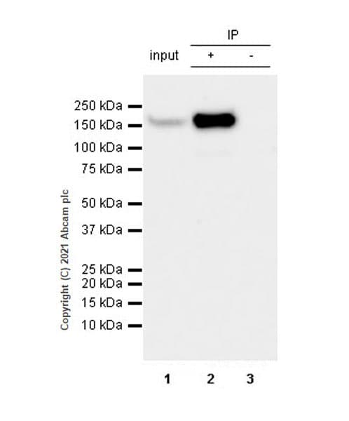
Rabbit Recombinant Monoclonal GLG1 antibody. Carrier free. Suitable for ICC/IF, IP, WB, IHC-P and reacts with Mouse, Human, Rat samples.
Specifications
Shipped At Conditions Blue Ice
Appropriate Long term Storage Conditions Store at +4°C.
Clonality Monoclonal
Applications Flow Cyt (Intra), ICC/IF, IHC-P, IP, WB
Species Reactivity Human, Mouse, Rat
Isotype IgG