JavaScript is disabled in your browser. Please enable JavaScript to view this website.

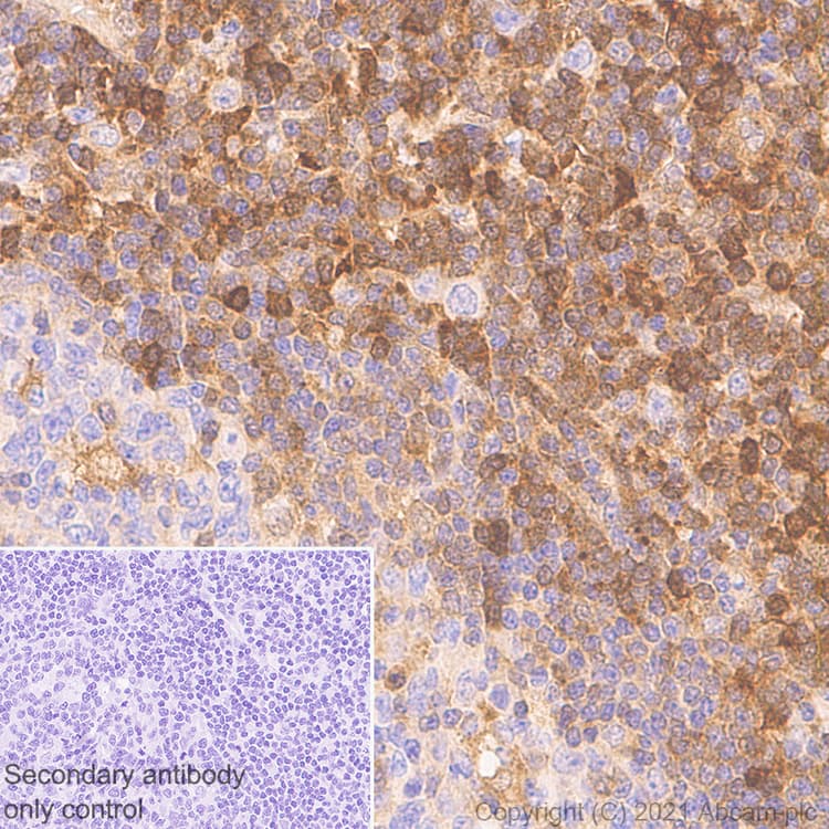
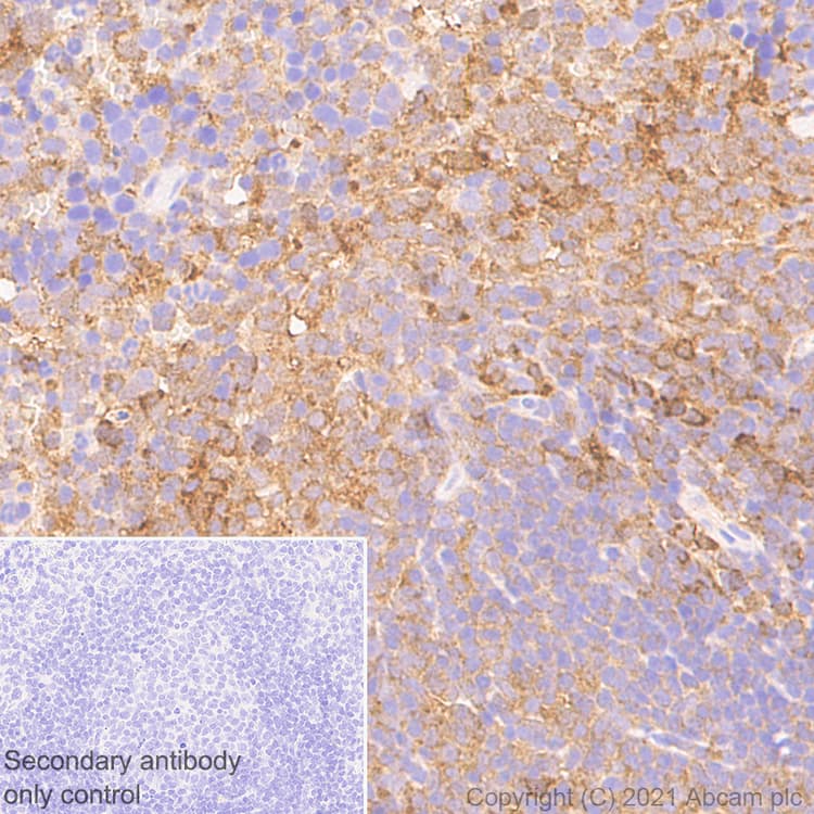
Anti-STAT1 antibody [1/Stat1](AB281999)

$undefined

Anti-STAT1 antibody [1/Stat1](AB281999)

Anti-STAT1 antibody [1/Stat1](AB281999)

Anti-STAT1 antibody [1/Stat1](AB281999)

Anti-STAT1 antibody [1/Stat1](AB281999)

Anti-STAT1 antibody [1/Stat1](AB281999)

Mouse Recombinant Monoclonal STAT1 antibody. Suitable for IHC-P, WB, ICC/IF and reacts with Mouse, Human samples. Cited in 1 publication.
Specifications
Shipped At Conditions Blue Ice
Appropriate Long term Storage Conditions Store at -20°C.
Clonality Monoclonal
Applications ICC/IF, IHC-P, IP, WB
Species Reactivity Human, Mouse, Rat
Isotype IgG1