JavaScript is disabled in your browser. Please enable JavaScript to view this website.

Anti-Fibrinogen gamma chain antibody [EP24539-127](AB281924)

$undefined

Anti-Fibrinogen gamma chain antibody [EP24539-127](AB281924)

Anti-Fibrinogen gamma chain antibody [EP24539-127](AB281924)

Anti-Fibrinogen gamma chain antibody [EP24539-127](AB281924)

Anti-Fibrinogen gamma chain antibody [EP24539-127](AB281924)

Anti-Fibrinogen gamma chain antibody [EP24539-127](AB281924)

Anti-Fibrinogen gamma chain antibody [EP24539-127](AB281924)

Anti-Fibrinogen gamma chain antibody [EP24539-127](AB281924)

Anti-Fibrinogen gamma chain antibody [EP24539-127](AB281924)

Anti-Fibrinogen gamma chain antibody [EP24539-127](AB281924)

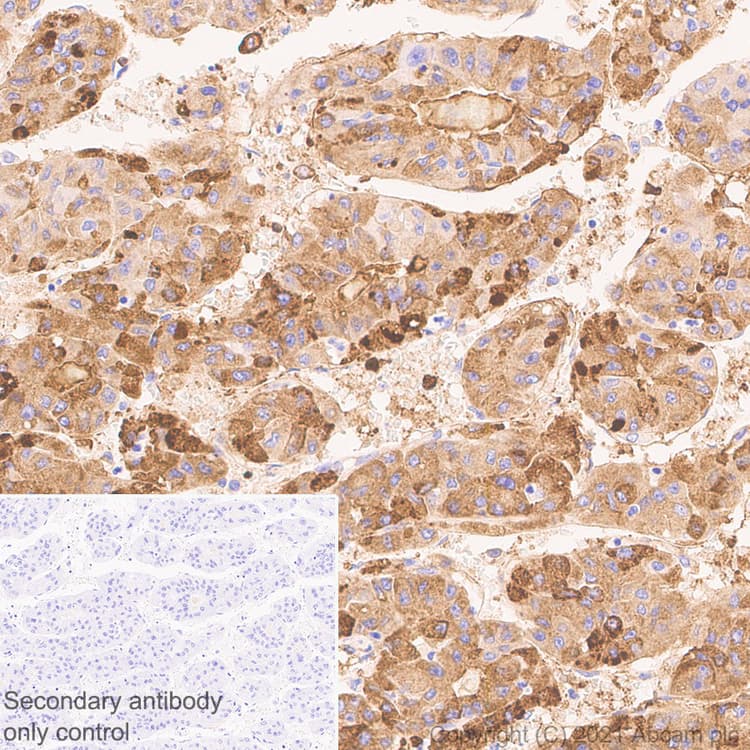
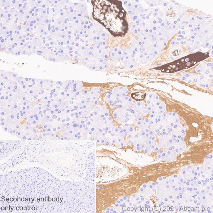
Rabbit Recombinant Monoclonal Fibrinogen gamma chain antibody. Suitable for ICC/IF, IP, WB, IHC-P and reacts with Human, Rat, Mouse samples. Cited in 2 publications.
Specifications
Shipped At Conditions Blue Ice
Appropriate Long term Storage Conditions Store at -20°C.
Clonality Monoclonal
Applications Flow Cyt, ICC/IF, IHC-P, IP, WB
Species Reactivity Human, Mouse, Rat
Isotype IgG