JavaScript is disabled in your browser. Please enable JavaScript to view this website.

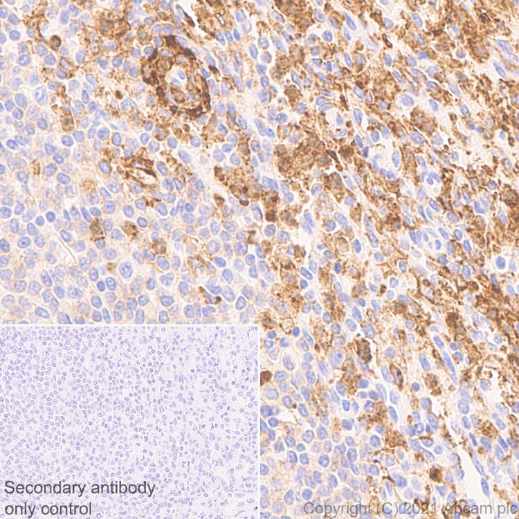
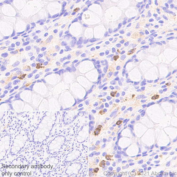
Anti-NOX2/gp91phox antibody [EPR24537-15](AB280952)

$undefined

Anti-NOX2/gp91phox antibody [EPR24537-15](AB280952)

Anti-NOX2/gp91phox antibody [EPR24537-15](AB280952)

Anti-NOX2/gp91phox antibody [EPR24537-15](AB280952)

Rabbit Monoclonal NOX2/gp91phox antibody. Suitable for IHC-P and reacts with Human samples. Cited in 1 publication.
Specifications
Shipped At Conditions Blue Ice
Appropriate Long term Storage Conditions Store at -20°C.
Clonality Monoclonal
Applications Flow Cyt, ICC/IF, IHC-P, WB
Species Reactivity Human, Mouse, Rat
Isotype IgG