JavaScript is disabled in your browser. Please enable JavaScript to view this website.

Anti-c-Jun antibody [3/Jun] - BSA and Azide free(ab280094)

$undefined

Anti-c-Jun antibody [3/Jun] - BSA and Azide free(ab280094)

Anti-c-Jun antibody [3/Jun] - BSA and Azide free(ab280094)

Anti-c-Jun antibody [3/Jun] - BSA and Azide free(ab280094)

Anti-c-Jun antibody [3/Jun] - BSA and Azide free(ab280094)

Anti-c-Jun antibody [3/Jun] - BSA and Azide free(ab280094)

Anti-c-Jun antibody [3/Jun] - BSA and Azide free(ab280094)

Anti-c-Jun antibody [3/Jun] - BSA and Azide free(ab280094)

Anti-c-Jun antibody [3/Jun] - BSA and Azide free(ab280094)

Anti-c-Jun antibody [3/Jun] - BSA and Azide free(ab280094)

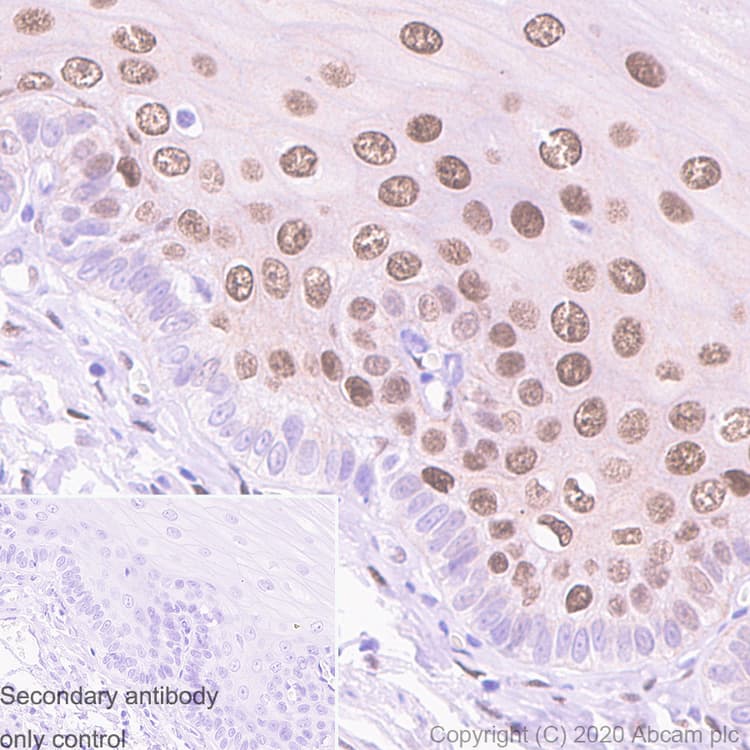
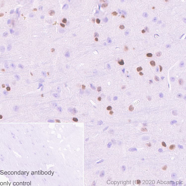
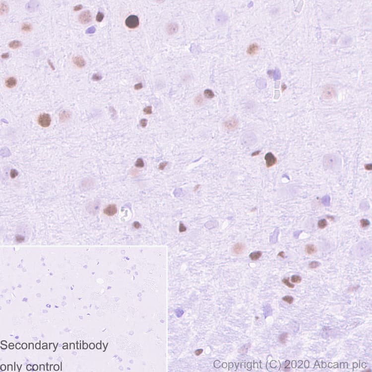
Mouse Recombinant Monoclonal c-Jun antibody. Carrier free. Suitable for IHC-P, ICC/IF, WB and reacts with Mouse, Rat, Human samples.
Specifications
Shipped At Conditions Blue Ice
Appropriate Long term Storage Conditions Store at +4°C.
Clonality Monoclonal
Applications ICC/IF, IHC-P, IP, WB
Species Reactivity Human, Mouse, Rat
Isotype IgG2a